Search
Search
CISH, or chromogenic in situ hybridization, is a process in which a labeled complementary DNA or RNA strand is used to localize a specific DNA or RNA sequence in a tissue specimen. CISH methodology may be used to evaluate gene amplification, gene deletion, chromosome translocation, and chromosome number. CISH utilizes conventional peroxidase or alkaline phosphatase reactions visualized under a standard bright-field microscope, and is applicable to formalin-fixed, paraffin-embedded (FFPE) tissues, blood or bone marrow smears, metaphase chromosome spreads, and fixed cells.
What CISH offers:
Our CISH probes are created with Subtraction Probe Technology (SPT™), a proprietary technology that produces highly specific probes by significantly reducing the repetitive sequences found in human DNA. Consequently, our probes do not require the repetitive sequence blocking that is common for traditional cytogenetic DNA probes.
On Day 1, major steps include tissue preparation, heat pretreatment, pepsin digestion, probe addition, and denaturation/hybridization. Following an overnight hybridization step, Day 2 begins with a stringent wash before proceeding with the immunodetection steps. After using a standard tissue mounting procedure, the specimens are ready for interpretation on a bright-field microscope.
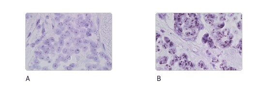
CISH detection of non-amplified HER2 gene status (A) and amplified HER2 gene status (B) in different breast cancer tissue samples at 40X magnification.
| CISH | FISH | IHC | |
|---|---|---|---|
| Signal stability | Archivable | Fades over time | Archivable |
| Microscope | Bright-field | Fluorescence | Bright-field |
| Magnification | 40x | 60–100x | 20–40x |
| CProtocol length | Overnight + 3 hr, 55 min | Overnight + 3 hr, 12 min | 3 hr, 2 min |
| Morphology | Good | Limited | Good |
| Amount of training required | Medium | High | Low |
| Internal control | Yes | Yes | No |
| Interpretation | Objective/quantitative | Objective/quantitative | Subjective/qualitative |
| Overall cost | Medium | High | Low |

