Hamburger Menu Button
Thermo Fisher Scientific Logo
登录
没有账号?建立账号 注册
  • 产品
    • 抗体
    • 引物合成
    • GeneArt Gene Synthesis Instant Designer
    • TaqMan Assay and Array Search
    • PCR 设备和耗材
    • 色谱柱和纯化柱
    • 实验室离心机
    • 分子生物学试剂和试剂盒
    • 实验室塑料耗材及用品
    • 查看所有产品分类
  • 应用和技术
    • 色谱
    • 细胞转染和培养
    • 实时荧光定量PCR
    • 质谱
    • 实验室塑料耗材及用品
    • 电子显微镜
    • 蛋白质生物学
    • PCR
    • RNAi
    • 环境
    • 查看所有应用和技术
  • 服务
    • 定制服务
    • 企业级实验室信息化服务
    • 金融&租赁服务
    • 仪器服务
    • OEM和商业供应
    • 培训服务
    • 360° CDMO 和 CRO 服务
    • CDMO 服务
    • 临床试验 CRO 服务
    • Unity Lab Services
    • 查看所有帮助和支持
  • 帮助和支持
    • 学习中心
    • 联系我们
    • 更改国家或地区
    • 查看所有帮助和支持
  • 热门产品
    • TaqMan Real-Time PCR Assays
      TaqMan 实时荧光定量 PCR 试剂盒
    • Antibodies
      抗体
    • Oligos, Primers & Probes
      寡核苷酸、引物、探针
    • GeneArt Gene Synthesis
      GeneArt 基因合成
    • Cell Culture Plastics
      细胞培养耗材
  • Who We Serve
    • 抗体治疗解决方案
    • 细胞与基因治疗解决方案
    • 学术科研
    • 工业与应用
  • 联系我们
  • 货号直购
  • 订单查询
  • 查找文件&证书
Thermo Fisher Scientific Logo

Search

搜索全部或下列指定分类
Search button
          • 联系我们
          • 货号直购
          • 登录
            登录
            没有账号?建立账号 注册
            • 我的账号
            • 订单
            • 会员中心
            • 账单及发票查询
            • 定制产品及项目
          • Primary Antibodies ›
          • RAGE Antibodies

          Proteintech

          AGER Polyclonal Antibody

          34 篇参考文献
          查看其他25个RAGE抗体

          {{$productOrderCtrl.translations['antibody.pdp.commerceCard.promotion.promotions']}}

          {{$productOrderCtrl.translations['antibody.pdp.commerceCard.promotion.viewpromo']}}

          {{$productOrderCtrl.translations['antibody.pdp.commerceCard.promotion.promocode']}}: {{promo.promoCode}} {{promo.promoTitle}} {{promo.promoDescription}}. {{$productOrderCtrl.translations['antibody.pdp.commerceCard.promotion.learnmore']}}

          说明书
          证书
          实验方案
          问题与答案
          技术支持
          说明书
          证书
          实验方案
          问题与答案
          技术支持
          说明书
          证书
          实验方案
          问题与答案
          技术支持

          Cite AGER Polyclonal Antibody

          Additional Information:
          {{banner.description}}
          {{$ctrl.isSkuNotesCollapsed ? 'View more' : 'View less'}}
          • 抗体检测数据 (7)
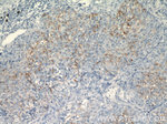
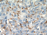
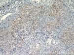
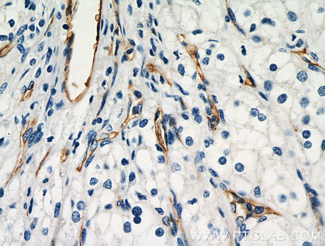
          AGER Antibody in Immunohistochemistry (Paraffin) (IHC (P))
          Group 53 Created with Sketch.
          AGER Antibody in Immunohistochemistry (Paraffin) (IHC (P))
          Group 53 Created with Sketch.

          图: 1 / 7

          {{ $ctrl.currentElement.advancedVerification.fullName }}
          {{ $ctrl.currentElement.advancedVerification.text }}

          AGER Antibody (16346-1-AP) in IHC (P)

          Immunohistochemistry of paraffin-embedded human renal cell carcinoma tissue slide using 16346-1-AP ( AGER Antibody) at dilution of 1:200 (under 40x lens). {{ $ctrl.currentElement.advancedVerification.fullName }} 验证信息 View more
          已发表图片由___提供 benchsci-logo
          PMID: {{$ctrl.currentElement.benchSciPubmedId}}
          查看产品

          {{$ctrl.videoDesc}}

          {{$ctrl.videoLongDesc}}

          AGER Antibody in Immunohistochemistry (Paraffin) (IHC (P))
          AGER Antibody in Immunohistochemistry (Paraffin) (IHC (P))
          AGER Antibody in Immunohistochemistry (Paraffin) (IHC (P))
          AGER Antibody in Immunohistochemistry (Paraffin) (IHC (P))
          AGER Antibody in Immunohistochemistry (Paraffin) (IHC (P))
          AGER Antibody in Immunohistochemistry (Paraffin) (IHC (P))
          AGER Antibody in Western Blot (WB)
          AGER Polyclonal Antibody

          产品信息

          16346-1-AP

          应用
          建议稀释比
          已发表文章

          免疫印迹 (WB)

          1:500-1:1,000
          查看20篇已发表文章 20篇已发表文章

          免疫组化 (IHC)

          -
          查看7篇已发表文章 7篇已发表文章

          免疫组化(石蜡) (IHC (P))

          1:20-1:200
          -

          免疫细胞化学 (ICC/IF)

          -
          查看6篇已发表文章 6篇已发表文章

          其他PubMed (Misc)

          -
          查看1篇已发表文章 1篇已发表文章
          产品规格

          种属反应

          Human, Mouse, Rat

          已发表种属

          Human, Mouse

          宿主/亚型

          Rabbit / IgG

          分类

          Polyclonal

          类型

          Antibody

          抗原

          AGER Fusion Protein Ag9540 (26-340 aa encoded by BC020669)
          3D表位/免疫原

          偶联物

          Unconjugated Unconjugated Unconjugated

          形式

          Liquid

          浓度

          0.23 mg/mL

          规格

          34.5 µg

          纯化类型

          Antigen affinity chromatography

          保存液

          PBS, pH 7.3, with 50% glycerol

          内含物

          0.02% sodium azide

          保存条件

          -20°C

          运输条件

          Wet ice (domestic); Dry ice (international)

          产品详细信息

          Immunogen sequence: ITARIGEPL VLKCKGAPKK PPQRLEWKLN TGRTEAWKVL SPQGGGPWDS VARVLPNGSL FLPAVGIQDE GIFRCQAMNR NGKETKSNYR VRVYQIPGKP EIVDSASELT AGVPNKVGTC VSEGSYPAGT LSWHLDGKPL VPNEKGVSVK EQTRRHPETG LFTLQSELMV TPARGGDPRP TFSCSFSPGL PRHRALRTAP IQPRVWEPVP LEEVQLVVEP EGGAVAPGGT VTLTCEVPAQ PSPQIHWMKD GVPLPLPPSP VLILPEIGPQ DQGTYSCVAT HSSHGPQESR AVSISIIEPG EEGPTAGSVG GSGLGT (26-340 aa encoded by BC020669)

          靶标信息

          The Receptor for Advanced Glycation End-products (RAGE) is a gene located on human chromosome 6p21.3, encoding a transmembrane receptor belonging to the immunoglobulin superfamily. RAGE is expressed in various tissues, with significant levels in the lungs, and plays a crucial role in cellular signaling and inflammation. As a receptor, RAGE binds multiple ligands, including advanced glycation end-products (AGEs), amyloid-beta peptide, high mobility group box 1 (HMGB1), and S100/calgranulin proteins, facilitating diverse pathological processes like inflammation, cancer progression, and neurodegeneration. The interaction between RAGE and its ligands triggers intracellular signaling pathways such as NF-kB activation, leading to inflammatory responses and oxidative stress. In the context of chronic diseases like diabetes, Alzheimer's, and cardiovascular diseases, RAGE is a critical mediator, linking metabolic disturbance to cellular dysfunction. Therapeutic targeting of RAGE signaling is under investigation, aiming to mitigate its contribution to inflammatory and degenerative diseases.

          仅用于科研。不用于诊断过程。未经明确授权不得转售。

          生物信息学

          蛋白别名: advanced glycation end-products receptor; advanced glycosylation end product receptor; Advanced glycosylation end product-specific receptor; advanced glycosylation end product-specific receptor variant 2; advanced glycosylation end product-specific receptor variant 3; advanced glycosylation end product-specific receptor variant 4; advanced glycosylation end product-specific receptor variant 5; RAGE-4 ORF3; RAGEdelex2-6; RAGEdelex3; RAGEdelex3-10; RAGEdelex3-7; RAGEdelex8&int9; RAGEint4; RAGEint4&9; RAGEint9&delex11; RAGEv1; RAGEv8; receptor for advanced glycation end-products; receptor for advanced glycation end-products variant 20; Receptor for advanced glycosylation end products; soluble receptor; sRAGE; unnamed protein product

          查看更多 收起

          基因别名: AGER; RAGE; SCARJ1; sRAGE

          查看更多 收起

          UniProt ID: (Human) Q15109, (Mouse) Q62151

          查看更多 收起

          Entrez Gene ID: (Human) 177, (Rat) 81722, (Mouse) 11596

          查看更多 收起

          功能
          beta-amyloid binding DNA binding RNA binding transmembrane signaling receptor activity scavenger receptor activity laminin receptor activity protein binding signaling receptor activity histone binding identical protein binding S100 protein binding macromolecular complex binding advanced glycation end-product receptor activity binding, bridging high mobility group box 1 binding cell adhesion molecule immunoglobulin superfamily cell adhesion molecule
          参与通路
          response to hypoxia microglial cell activation positive regulation of cytokine production regulation of T cell mediated cytotoxicity DNA replication DNA repair phagocytosis inflammatory response cellular response to DNA damage stimulus cell adhesion cell surface receptor signaling pathway learning or memory positive regulation of cell proliferation response to wounding negative regulation of biosynthetic process glucose mediated signaling pathway astrocyte development regulation of cell adhesion positive regulation of cell migration neuron projection development negative regulation of interleukin-10 production positive regulation of chemokine production positive regulation of interleukin-1 beta production positive regulation of interleukin-12 production positive regulation of interleukin-6 production positive regulation of tumor necrosis factor production positive regulation of heterotypic cell-cell adhesion positive regulation of activated T cell proliferation transcytosis positive regulation of cell differentiation positive regulation of JNK cascade astrocyte activation regulation of synaptic plasticity regulation of inflammatory response induction of positive chemotaxis positive regulation of DNA metabolic process positive regulation of NF-kappaB transcription factor activity negative regulation of multicellular organismal process positive regulation of ERK1 and ERK2 cascade cellular response to glucose stimulus positive regulation of monocyte chemotactic protein-1 production protein localization to membrane regulation of spontaneous synaptic transmission transport across blood-brain barrier regulation of long-term synaptic potentiation negative regulation of long-term synaptic potentiation negative regulation of long term synaptic depression regulation of p38MAPK cascade positive regulation of p38MAPK cascade regulation of NIK/NF-kappaB signaling positive regulation of NIK/NF-kappaB signaling positive regulation of amyloid precursor protein catabolic process negative regulation of blood circulation positive regulation of endothelin production negative regulation of connective tissue replacement involved in inflammatory response wound healing response to amyloid-beta cellular response to beta-amyloid positive regulation of DNA-dependent DNA replication positive regulation of monocyte extravasation regulation of CD4-positive, alpha-beta T cell activation positive regulation of double-strand break repair positive regulation of dendritic cell differentiation negative regulation of protein phosphorylation positive regulation of protein phosphorylation negative regulation of endothelial cell proliferation negative regulation of cell adhesion JAK-STAT cascade brain development glycoprotein metabolic process response to fructose positive regulation of autophagy negative regulation of endothelial cell migration positive regulation of gene expression positive regulation of epithelial to mesenchymal transition positive regulation of fibroblast migration response to activity positive regulation of smooth muscle cell migration lung development negative regulation of collagen biosynthetic process response to vitamin A response to genistein negative regulation of osteoblast proliferation cellular response to drug positive regulation of apoptotic process positive regulation of JUN kinase activity positive regulation of neuron apoptotic process positive regulation of fibroblast proliferation positive regulation of smooth muscle cell proliferation positive regulation of inflammatory response regulation of DNA binding response to methylglyoxal calcium ion homeostasis response to hyperoxia positive regulation of phagocytosis, engulfment transdifferentiation cellular response to hydrogen peroxide cellular response to fatty acid cellular response to organic cyclic compound response to selenite ion positive regulation of potassium ion transmembrane transporter activity positive regulation of neuron death positive regulation of endothelial cell apoptotic process positive regulation of reactive oxygen species metabolic process positive regulation of type B pancreatic cell apoptotic process
          It has to be done as per old AB suggested Products section.

          Disclaimer

          Close

          Clicking the images or links will redirect you to a website hosted by BenchSci that provides third-party scientific content. Neither the content nor the BenchSci technology and processes for selection have been evaluated by us; we are providing them as-is and without warranty of any kind, including for use or application of the Thermo Fisher Scientific products presented.

          guarantee_icon

          性能保障

          只要您发现Invitrogen抗体在实验中的表现与网站或说明书的所述内容不符,您即可享受免费退换货服务。*

          了解更多
          help_icon

          随时为您服务

          获取常见问题的专家解答,或者直接联系我们的技术专家,咨询应用、设备、常规产品使用问题。

          联系技术支持
          订购 Plus Icon Minus Icon
          • 订单状态查询
          • 订单支持
          • 货号直购
          • 现货供应中心
          • 电子采购
          支持 Plus Icon Minus Icon
          • 帮助&支持
          • 联系我们 - 400 820 8982
          • 技术支持中心
          • 查找文件&证书
          • 报告网站问题
          资源 Plus Icon Minus Icon
          • 学习中心
          • 促销
          • 活动&研讨会
          • 社交媒体
          关于赛默飞 Plus Icon Minus Icon
          • 关于我们
          • 招聘 招聘
          • 投资者关系 投资者关系
          • 新闻 新闻
          • 社会责任 社会责任
          • 商标
          • 政策和通知
          品牌 Plus Icon Minus Icon
          • Thermo Scientific
          • Applied Biosystems
          • Invitrogen
          • Gibco
          • Ion Torrent
          • Unity Lab Services
          • Patheon
          • PPD
          • 服务条款
          • 隐私政策
          • 定价和运输保险政策
          © 2006-2026 Thermo Fisher Scientific Inc. All rights reserved. All trademarks are the property of Thermo Fisher Scientific and its subsidiaries unless otherwise specified.
          China flag icon
          China
          本网站销售的所有产品均不得用于人类或动物之临床诊断或治疗,仅可用于工业或者科研等非医疗目的。
             电子营业执照 | 经营证照公示 | ICP备案号:沪ICP备11003924号 | 沪公网安备 31011502006935号

          Your items have has been added!


          Host server : magellan-search-green-6479c7f679-mppzp:80/100.66.76.236:80.
          git-commit: b70c0dceb888abc3b0dcebb5bc3a5b8753e7e816
          git-url: https://github.com/thermofisher/magellan-search
          git-branch: release/2.50.0-Offline