Hamburger Menu Button
Thermo Fisher Scientific Logo
登录
没有账号?建立账号 注册
  • 产品
    • 抗体
    • 引物合成
    • GeneArt Gene Synthesis Instant Designer
    • TaqMan Assay and Array Search
    • PCR 设备和耗材
    • 色谱柱和纯化柱
    • 实验室离心机
    • 分子生物学试剂和试剂盒
    • 实验室塑料耗材及用品
    • 查看所有产品分类
  • 应用和技术
    • 色谱
    • 细胞转染和培养
    • 实时荧光定量PCR
    • 质谱
    • 实验室塑料耗材及用品
    • 电子显微镜
    • 蛋白质生物学
    • PCR
    • RNAi
    • 环境
    • 查看所有应用和技术
  • 服务
    • 定制服务
    • 企业级实验室信息化服务
    • 企业服务
    • 金融&租赁服务
    • 仪器服务
    • OEM和商业供应
    • 培训服务
    • 360° CDMO 和 CRO 服务
    • CDMO 服务
    • 临床试验 CRO 服务
    • 查看所有帮助和支持
  • 帮助和支持
    • 学习中心
    • 联系我们
    • 更改国家或地区
    • 查看所有帮助和支持
  • 热门产品
    • TaqMan Real-Time PCR Assays
      TaqMan 实时荧光定量 PCR 试剂盒
    • Antibodies
      抗体
    • Oligos, Primers & Probes
      寡核苷酸、引物、探针
    • GeneArt Gene Synthesis
      GeneArt 基因合成
    • Cell Culture Plastics
      细胞培养耗材
  • 联系我们
  • 货号直购
  • 订单查询
  • 查找文件&证书
Thermo Fisher Scientific Logo

Search

搜索全部或下列指定分类
Search button
          • 联系我们
          • 货号直购
          • 登录
            登录
            没有账号?建立账号 注册
            • 我的账号
            • 订单
            • 账单及发票查询
            • 定制产品及项目

          Disclaimer

          Clicking the images or links will redirect you to a website hosted by BenchSci that provides third-party scientific content. Neither the content nor the BenchSci technology and processes for selection have been evaluated by us; we are providing them as-is and without warranty of any kind, including for use or application of the Thermo Fisher Scientific products presented.

          • Primary Antibodies ›
          • ETS1 Antibodies

          Proteintech

          ETS1 Monoclonal Antibody (4F2D4)

          3 篇参考文献
          查看其他32个ETS1抗体

          {{$productOrderCtrl.translations['antibody.pdp.commerceCard.promotion.promotions']}}

          {{$productOrderCtrl.translations['antibody.pdp.commerceCard.promotion.viewpromo']}}

          {{$productOrderCtrl.translations['antibody.pdp.commerceCard.promotion.promocode']}}: {{promo.promoCode}} {{promo.promoTitle}} {{promo.promoDescription}}. {{$productOrderCtrl.translations['antibody.pdp.commerceCard.promotion.learnmore']}}

          说明书
          证书
          实验方案
          问题与答案
          技术支持
          说明书
          证书
          实验方案
          问题与答案
          技术支持
          说明书
          证书
          实验方案
          问题与答案
          技术支持

          Cite ETS1 Monoclonal Antibody (4F2D4)

          • 抗体检测数据 (4)
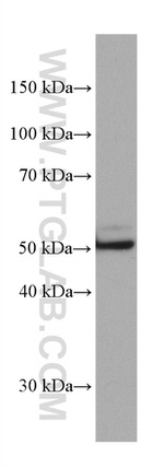
          ETS1 Antibody in Western Blot (WB)
          Group 53 Created with Sketch.
          ETS1 Antibody in Western Blot (WB)
          Group 53 Created with Sketch.

          图: 1 / 4

          {{ $ctrl.currentElement.advancedVerification.fullName }}
          {{ $ctrl.currentElement.advancedVerification.text }}

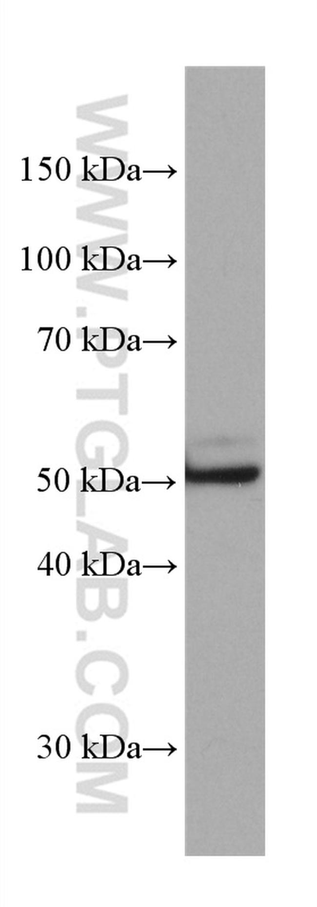
          ETS1 Antibody (66598-1-IG) in WB

          HSC-T6 cells were subjected to SDS PAGE followed by western blot with 66598-1-Ig (ETS1 antibody) at dilution of 1:5000 incubated at room temperature for 1.5 hours. {{ $ctrl.currentElement.advancedVerification.fullName }} 验证信息 View more
          已发表图片由___提供 benchsci-logo
          PMID: {{$ctrl.currentElement.benchSciPubmedId}}
          查看产品

          {{$ctrl.videoDesc}}

          {{$ctrl.videoLongDesc}}

          ETS1 Antibody in Western Blot (WB)
          ETS1 Antibody in Western Blot (WB)
          ETS1 Antibody in Western Blot (WB)
          ETS1 Antibody in Western Blot (WB)
          ETS1 Monoclonal Antibody (4F2D4)

          产品信息

          66598-1-IG

          应用
          建议稀释比
          已发表文章

          免疫印迹 (WB)

          1:2,000-1:5,000
          查看2篇已发表文章 2篇已发表文章

          免疫组化 (IHC)

          -
          查看1篇已发表文章 1篇已发表文章
          产品规格

          种属反应

          Human, Rat

          宿主/亚型

          Mouse / IgG2b

          分类

          Monoclonal

          类型

          Antibody

          克隆号

          4F2D4

          抗原

          ETS1 Fusion Protein Ag2127 (1-272 aa encoded by BC017314)
          查看免疫原

          偶联物

          Unconjugated Unconjugated Unconjugated

          形式

          Liquid

          浓度

          1 mg/mL

          纯化类型

          Protein A

          保存液

          PBS, pH 7.3, with 50% glycerol

          内含物

          0.02% sodium azide

          保存条件

          -20°C

          运输条件

          Wet ice (domestic); Dry ice (international)

          产品详细信息

          Immunogen sequence: MKAAVDLKP TLTIIKTEKV DLELFPSPDM ECADVPLLTP SSKEMMSQAL KATFSGFTKE QQRLGIPKDP RQWTETHVRD WVMWAVNEFS LKGVDFQKFC MNGAALCALG KDCFLELAPD FVGDILWEHL EILQKEDVKP YQVNGVNPAY PESRYTSDYF ISYGIEHAQC VPPSEFSEPS FITESYQTLH PISSEELLSL KYENDYPSVI LRDPLQTDTL QNDYFAIKQE VVTPDNMCMG RTSRGKLGGQ DSFESIESYD SCGQEMGKEE KQT (1-272 aa encoded by BC017314)

          靶标信息

          ETS1 (c-Ets-1; v-ets erythroblastosis virus E26 oncogene homlog 1 (avian); ETS-1; EWSR2; p54), a 441 A. A protein, is a member of DNA-binding ETS protein family. It is a multifunctional protein consisting of an N-terminal pointed domain, a central transactivation domain and 2 auto inhibitory domains flanked on both sides of conserved C-terminal Ets domain. It interacts with factors including PEBP2alphaA, p300/CBP and mediates transactivation of Osteopontin, Presenilin-1, Stromelysin and Collagenase. It is activated by Ras/MAPK signaling and its expression is up-regulated in resting T-cells. Its activity is modulated by various factors including AP-1, Sp-1, c-myb and MafB. Sp100 activates ETS1 in nuclear bodies. It interacts with EAP1/Daxx and causes repression of MMP1 and BCL2 transactivation. It interacts with STAT6 and modulates Socs-1 expression induced by IL-4. It interacts with GATA3 and positively regulates Tax-1 dependent IL-5 expression.

          仅用于科研。不用于诊断过程。未经明确授权不得转售。

          生物信息学

          蛋白别名: Avian erythroblastosis virus E26 (v-ets) oncogene homolog-1; Ets avian erythroblastosis virus E2 oncogene homolog 1 (tumor progression locus 1); ets protein; Ets-1Delta(III-VI); FLJ10768; p54; Protein C-ets-1; v-ets avian erythroblastosis virus E2 oncogene homolog 1; v-ets avian erythroblastosis virus E26 oncogene homolog 1; v-ets erythroblastosis virus E26 oncogene homolog 1

          查看更多 收起

          基因别名: c-ets-1; ETS-1; ETS1; Etsoncb; EWSR2; p54; Tpl1

          查看更多 收起

          UniProt ID: (Human) P14921, (Rat) P41156

          查看更多 收起

          Entrez Gene ID: (Human) 2113, (Rat) 24356

          查看更多 收起

          功能
          RNA polymerase II transcription factor activity, sequence-specific DNA binding transcription factor activity, RNA polymerase II core promoter proximal region sequence-specific binding DNA binding transcription factor activity, sequence-specific DNA binding protein binding transcription factor binding histone acetyltransferase binding identical protein binding sequence-specific DNA binding winged helix/forkhead transcription factor
          参与通路
          response to hypoxia immune response female pregnancy positive regulation of cell proliferation negative regulation of cell proliferation response to mechanical stimulus positive regulation of endothelial cell migration regulation of extracellular matrix disassembly hypothalamus development pituitary gland development PML body organization response to estradiol response to laminar fluid shear stress estrous cycle positive regulation of erythrocyte differentiation regulation of angiogenesis positive regulation of angiogenesis positive regulation of transcription, DNA-templated positive regulation of transcription from RNA polymerase II promoter cell motility negative regulation of inflammatory response positive regulation of inflammatory response positive regulation of cellular component movement angiogenesis involved in wound healing pri-miRNA transcription from RNA polymerase II promoter cellular response to hydrogen peroxide response to interleukin-1 positive regulation of leukocyte adhesion to vascular endothelial cell immune system process regulation of transcription from RNA polymerase II promoter transcription from RNA polymerase II promoter response to wounding cell differentiation positive regulation of cell migration regulation of apoptotic process negative regulation of cell cycle response to antibiotic
          It has to be done as per old AB suggested Products section.
          guarantee_icon

          性能保障

          只要您发现Invitrogen抗体在实验中的表现与网站或说明书的所述内容不符,您即可享受免费退换货服务。*

          了解更多
          help_icon

          随时为您服务

          获取常见问题的专家解答,或者直接联系我们的技术专家,咨询应用、设备、常规产品使用问题。

          联系技术支持
          订购 Plus Icon Minus Icon
          • 订单状态查询
          • 订单支持
          • 货号直购
          • 现货供应中心
          • 电子采购
          支持 Plus Icon Minus Icon
          • 帮助&支持
          • 联系我们 - 400 820 8982
          • 技术支持中心
          • 查找文件&证书
          • 报告网站问题
          资源 Plus Icon Minus Icon
          • 学习中心
          • 促销
          • 活动&研讨会
          • 社交媒体
          关于赛默飞 Plus Icon Minus Icon
          • 关于我们
          • 招聘 招聘
          • 投资者关系 投资者关系
          • 新闻 新闻
          • 社会责任 社会责任
          • 商标
          • 政策和通知
          品牌 Plus Icon Minus Icon
          • Thermo Scientific
          • Applied Biosystems
          • Invitrogen
          • Gibco
          • Ion Torrent
          • Patheon
          • PPD
          • 服务条款
          • 隐私政策
          • 定价和运输保险政策
          © 2006-2026 Thermo Fisher Scientific Inc. All rights reserved. All trademarks are the property of Thermo Fisher Scientific and its subsidiaries unless otherwise specified.
          China flag icon
          China
          本网站销售的所有产品均不得用于人类或动物之临床诊断或治疗,仅可用于工业或者科研等非医疗目的。
             电子营业执照 | 经营证照公示 | ICP备案号:沪ICP备11003924号 | 沪公网安备 31011502006935号

          Your items have has been added!


          Host server : magellan-search-blue-55ff9ddd88-g677p:80/100.66.78.205:80.
          git-commit: d366ff9721d93504b2ac26a183b2b3e3d0e7d9ec
          git-url: https://github.com/thermofisher/magellan-search
          git-branch: release/2.42.0-2026.01.03-1.0