Hamburger Menu Button
Thermo Fisher Scientific Logo
登录
没有账号?建立账号 注册
  • 产品
    • 抗体
    • 引物合成
    • GeneArt Gene Synthesis Instant Designer
    • TaqMan Assay and Array Search
    • PCR 设备和耗材
    • 色谱柱和纯化柱
    • 实验室离心机
    • 分子生物学试剂和试剂盒
    • 实验室塑料耗材及用品
    • 查看所有产品分类
  • 应用和技术
    • 色谱
    • 细胞转染和培养
    • 实时荧光定量PCR
    • 质谱
    • 实验室塑料耗材及用品
    • 电子显微镜
    • 蛋白质生物学
    • PCR
    • RNAi
    • 环境
    • 查看所有应用和技术
  • 服务
    • 定制服务
    • 企业级实验室信息化服务
    • 金融&租赁服务
    • 仪器服务
    • OEM和商业供应
    • 培训服务
    • 360° CDMO 和 CRO 服务
    • CDMO 服务
    • 临床试验 CRO 服务
    • Unity Lab Services
    • 查看所有帮助和支持
  • 帮助和支持
    • 学习中心
    • 联系我们
    • 更改国家或地区
    • 查看所有帮助和支持
  • 热门产品
    • TaqMan Real-Time PCR Assays
      TaqMan 实时荧光定量 PCR 试剂盒
    • Antibodies
      抗体
    • Oligos, Primers & Probes
      寡核苷酸、引物、探针
    • GeneArt Gene Synthesis
      GeneArt 基因合成
    • Cell Culture Plastics
      细胞培养耗材
  • Who We Serve
    • 抗体治疗解决方案
    • 细胞与基因治疗解决方案
    • 学术科研
    • 工业与应用
  • 联系我们
  • 货号直购
  • 订单查询
  • 查找文件&证书
Thermo Fisher Scientific Logo

Search

搜索全部或下列指定分类
Search button
          • 联系我们
          • 货号直购
          • 登录
            登录
            没有账号?建立账号 注册
            • 我的账号
            • 订单
            • 会员中心
            • 账单及发票查询
            • 定制产品及项目
          • Primary Antibodies ›
          • SIRT6 Antibodies

          Invitrogen

          SIRT6 Polyclonal Antibody

          查看其他24个SIRT6抗体

          {{$productOrderCtrl.translations['antibody.pdp.commerceCard.promotion.promotions']}}

          {{$productOrderCtrl.translations['antibody.pdp.commerceCard.promotion.viewpromo']}}

          {{$productOrderCtrl.translations['antibody.pdp.commerceCard.promotion.promocode']}}: {{promo.promoCode}} {{promo.promoTitle}} {{promo.promoDescription}}. {{$productOrderCtrl.translations['antibody.pdp.commerceCard.promotion.learnmore']}}

          说明书
          证书
          实验方案
          问题与答案
          技术支持
          说明书
          证书
          实验方案
          问题与答案
          技术支持
          说明书
          证书
          实验方案
          问题与答案
          技术支持

          Cite SIRT6 Polyclonal Antibody

          Additional Information:
          {{banner.description}}
          {{$ctrl.isSkuNotesCollapsed ? 'View more' : 'View less'}}
          • 抗体检测数据 (3)
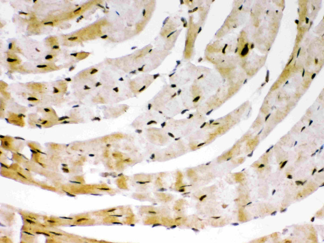
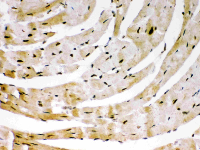
          SIRT6 Antibody in Immunohistochemistry (Paraffin) (IHC (P))
          Group 53 Created with Sketch.
          SIRT6 Antibody in Immunohistochemistry (Paraffin) (IHC (P))
          Group 53 Created with Sketch.

          图: 1 / 3

          {{ $ctrl.currentElement.advancedVerification.fullName }}
          {{ $ctrl.currentElement.advancedVerification.text }}

          SIRT6 Antibody (PA5-95240) in IHC (P)

          Immunohistochemistry analysis of SIRT6 in paraffin-embedded mouse cardiac muscle tissue. Samples were incubated with SIRT6 polyclonal antibody (Product # PA5-95240). {{ $ctrl.currentElement.advancedVerification.fullName }} 验证信息 View more
          已发表图片由___提供 benchsci-logo
          PMID: {{$ctrl.currentElement.benchSciPubmedId}}
          查看产品

          {{$ctrl.videoDesc}}

          {{$ctrl.videoLongDesc}}

          SIRT6 Antibody in Immunohistochemistry (Paraffin) (IHC (P))
          SIRT6 Antibody in Immunohistochemistry (Paraffin) (IHC (P))
          SIRT6 Antibody in Western Blot (WB)
          SIRT6 Polyclonal Antibody

          产品信息

          PA5-95240

          应用
          建议稀释比
          已发表文章

          免疫印迹 (WB)

          0.1-0.5 µg/mL
          -

          免疫组化(石蜡) (IHC (P))

          0.5-1 µg/mL
          -
          产品规格

          种属反应

          Human, Mouse

          宿主/亚型

          Rabbit / IgG

          分类

          Polyclonal

          类型

          Antibody

          抗原

          E.coli-derived human SIRT6 recombinant protein (Position: D14-E180).
          3D表位/免疫原

          偶联物

          Unconjugated Unconjugated Unconjugated

          形式

          Lyophilized

          浓度

          500 µg/mL

          规格

          100 µg

          纯化类型

          Affinity chromatography

          保存液

          PBS with 5mg BSA

          内含物

          0.05mg sodium azide

          保存条件

          -20°C

          运输条件

          Ambient (domestic); Wet ice (international)

          RRID

          AB_2807044

          产品详细信息

          Human SIRT6 shares 95% amino acid (aa) sequence identity with mouse SIRT6.

          Reconstitute with 0.2 mL of distilled water to yield a concentration of 500 µg/mL.

          Positive Control - WB: human U87 whole cell, human A549 whole cell, human K562 whole cell, human U2OS whole cell, human Hela whole cell. IHC: Mouse Cardiac Muscle Tissue, Human Mammary Cancer Tissue.|Store at -20°C for one year from date of receipt. After reconstitution, at 4°C for one month. It can also be aliquotted and stored frozen at -20°C for six months. Avoid repeated freeze-thaw cycles.

          靶标信息

          Sirtuins regulate epigenetic gene silencing. SIRT6 (Mono-ADP-ribosyltransferase sirtuin-6), a mouse Sir2 homolog, is a chromatin-associated nuclear ADP-ribosyltransferase protein. It appears to be involved in DNA repair and may also play a role in human aging.

          仅用于科研。不用于诊断过程。未经明确授权不得转售。

          篇参考文献 (0)

          您是否在文献中引用过该产品?请点击下方按钮邮件告知我们。
          引用该产品

          生物信息学

          蛋白别名: hSIRT6; mSIRT6; NAD-dependent deacetylase sirtuin-6; NAD-dependent protein deacetylase sirtuin-6; NAD-dependent protein deacylase sirtuin-6; Protein mono-ADP-ribosyltransferase sirtuin-6; Regulatory protein SIR2 homolog 6; SIR2; SIR2 like 6; SIR2-like protein 6; sir2-related protein type 6; SIRT6; sirtuin type 6; sirtuin6; unnamed protein product

          查看更多 收起

          基因别名: 2810449N18Rik; AI043036; hSIRT6; SIR2L6; SIRT6

          查看更多 收起

          UniProt ID: (Human) Q8N6T7, (Mouse) P59941

          查看更多 收起

          Entrez Gene ID: (Human) 51548, (Mouse) 50721

          查看更多 收起

          功能
          DNA binding chromatin binding damaged DNA binding transcription corepressor activity RNA binding NAD+ ADP-ribosyltransferase activity protein binding zinc ion binding transferase activity transferase activity, transferring acyl groups transferase activity, transferring glycosyl groups nucleotidyltransferase activity NAD-dependent histone deacetylase activity enzyme regulator activity chromatin DNA binding nucleosome binding histone deacetylase activity (H3-K9 specific) NAD-dependent protein deacetylase activity histone deacetylase regulator activity protein homodimerization activity metal ion binding NAD-dependent histone deacetylase activity (H3-K9 specific) NAD+ binding NAD-dependent histone deacetylase activity (H3-K18 specific) NAD+-protein-arginine ADP-ribosyltransferase activity DNA damage sensor activity histone H3K56 deacetylase activity, NAD-dependent NAD-dependent protein demyristoylase activity NAD-dependent protein depalmitoylase activity NAD+-protein-lysine ADP-ribosyltransferase activity TORC2 complex binding protein ADP-ribosylase activity NAD(P)+-protein-arginine ADP-ribosyltransferase activity histone deacetylase activity protein-N-terminal asparagine amidohydrolase activity UDP-3-O-[3-hydroxymyristoyl] N-acetylglucosamine deacetylase activity hydrolase activity iprodione amidohydrolase activity (3,5-dichlorophenylurea)acetate amidohydrolase activity protein deacetylase activity 4'-(2-hydroxyisopropyl)phenylurea amidohydrolase activity didemethylisoproturon amidohydrolase activity N-isopropylacetanilide amidohydrolase activity N-cyclohexylformamide amidohydrolase activity isonicotinic acid hydrazide hydrolase activity cis-aconitamide amidase activity gamma-N-formylaminovinylacetate hydrolase activity N2-acetyl-L-lysine deacetylase activity O-succinylbenzoate synthase activity indoleacetamide hydrolase activity N-acetylcitrulline deacetylase activity N-acetylgalactosamine-6-phosphate deacetylase activity diacetylchitobiose deacetylase activity chitooligosaccharide deacetylase activity
          参与通路
          negative regulation of transcription from RNA polymerase II promoter gluconeogenesis glycolytic process regulation of gluconeogenesis DNA repair regulation of DNA repair base-excision repair double-strand break repair chromatin organization chromatin remodeling protein deacetylation protein import into nucleus inflammatory response cellular response to DNA damage stimulus Ras protein signal transduction negative regulation of cell proliferation determination of adult lifespan response to UV negative regulation of transposition, RNA-mediated regulation of double-strand break repair via homologous recombination regulation of lipid metabolic process pericentric heterochromatin assembly telomeric heterochromatin assembly protein destabilization positive regulation of insulin secretion positive regulation of telomere maintenance positive regulation of proteasomal ubiquitin-dependent protein catabolic process circadian regulation of gene expression negative regulation of transcription elongation from RNA polymerase II promoter ketone biosynthetic process negative regulation of protein import into nucleus glucose homeostasis regulation of circadian rhythm positive regulation of fat cell differentiation negative regulation of gluconeogenesis positive regulation of gluconeogenesis negative regulation of gene expression, epigenetic negative regulation of glycolytic process negative regulation of transcription, DNA-templated positive regulation of transcription from RNA polymerase II promoter negative regulation of glucose import positive regulation of protein export from nucleus positive regulation of fibroblast proliferation regulation of protein secretion regulation of lipid catabolic process protein delipidation cardiac muscle cell differentiation protein poly-ADP-ribosylation positive regulation of cold-induced thermogenesis negative regulation of protein localization to chromatin positive regulation of protein localization to chromatin DNA repair-dependent chromatin remodeling transcription pausing by RNA polymerase II positive regulation of stem cell population maintenance positive regulation of chondrocyte proliferation regulation of protein localization to plasma membrane positive regulation of blood vessel branching positive regulation of vascular endothelial cell proliferation protein localization to site of double-strand break positive regulation of stem cell proliferation positive regulation of stem cell differentiation negative regulation of cellular senescence positive regulation of cellular senescence positive regulation of double-strand break repair post-embryonic cardiac muscle cell growth involved in heart morphogenesis protein ADP-ribosylation histone H3-K9 modification histone H3-K9 deacetylation
          It has to be done as per old AB suggested Products section.

          Disclaimer

          Close

          Clicking the images or links will redirect you to a website hosted by BenchSci that provides third-party scientific content. Neither the content nor the BenchSci technology and processes for selection have been evaluated by us; we are providing them as-is and without warranty of any kind, including for use or application of the Thermo Fisher Scientific products presented.

          guarantee_icon

          性能保障

          只要您发现Invitrogen抗体在实验中的表现与网站或说明书的所述内容不符,您即可享受免费退换货服务。*

          了解更多
          help_icon

          随时为您服务

          获取常见问题的专家解答,或者直接联系我们的技术专家,咨询应用、设备、常规产品使用问题。

          联系技术支持
          订购 Plus Icon Minus Icon
          • 订单状态查询
          • 订单支持
          • 货号直购
          • 现货供应中心
          • 电子采购
          支持 Plus Icon Minus Icon
          • 帮助&支持
          • 联系我们 - 400 820 8982
          • 技术支持中心
          • 查找文件&证书
          • 报告网站问题
          资源 Plus Icon Minus Icon
          • 学习中心
          • 促销
          • 活动&研讨会
          • 社交媒体
          关于赛默飞 Plus Icon Minus Icon
          • 关于我们
          • 招聘 招聘
          • 投资者关系 投资者关系
          • 新闻 新闻
          • 社会责任 社会责任
          • 商标
          • 政策和通知
          品牌 Plus Icon Minus Icon
          • Thermo Scientific
          • Applied Biosystems
          • Invitrogen
          • Gibco
          • Ion Torrent
          • Unity Lab Services
          • Patheon
          • PPD
          • 服务条款
          • 隐私政策
          • 定价和运输保险政策
          © 2006-2026 Thermo Fisher Scientific Inc. All rights reserved. All trademarks are the property of Thermo Fisher Scientific and its subsidiaries unless otherwise specified.
          China flag icon
          China
          本网站销售的所有产品均不得用于人类或动物之临床诊断或治疗,仅可用于工业或者科研等非医疗目的。
             电子营业执照 | 经营证照公示 | ICP备案号:沪ICP备11003924号 | 沪公网安备 31011502006935号

          Your items have has been added!


          Host server : magellan-search-green-6479c7f679-sz4vp:80/100.66.76.236:80.
          git-commit: b70c0dceb888abc3b0dcebb5bc3a5b8753e7e816
          git-url: https://github.com/thermofisher/magellan-search
          git-branch: release/2.50.0-Offline