Hamburger Menu Button
Thermo Fisher Scientific Logo
登录
没有账号?建立账号 注册
  • 产品
    • 抗体
    • 引物合成
    • GeneArt Gene Synthesis Instant Designer
    • TaqMan Assay and Array Search
    • PCR 设备和耗材
    • 色谱柱和纯化柱
    • 实验室离心机
    • 分子生物学试剂和试剂盒
    • 实验室塑料耗材及用品
    • 查看所有产品分类
  • 应用和技术
    • 色谱
    • 细胞转染和培养
    • 实时荧光定量PCR
    • 质谱
    • 实验室塑料耗材及用品
    • 电子显微镜
    • 蛋白质生物学
    • PCR
    • RNAi
    • 环境
    • 查看所有应用和技术
  • 服务
    • 定制服务
    • 企业级实验室信息化服务
    • 金融&租赁服务
    • 仪器服务
    • OEM和商业供应
    • 培训服务
    • 360° CDMO 和 CRO 服务
    • CDMO 服务
    • 临床试验 CRO 服务
    • Unity Lab Services
    • 查看所有帮助和支持
  • 帮助和支持
    • 学习中心
    • 联系我们
    • 更改国家或地区
    • 查看所有帮助和支持
  • 热门产品
    • TaqMan Real-Time PCR Assays
      TaqMan 实时荧光定量 PCR 试剂盒
    • Antibodies
      抗体
    • Oligos, Primers & Probes
      寡核苷酸、引物、探针
    • GeneArt Gene Synthesis
      GeneArt 基因合成
    • Cell Culture Plastics
      细胞培养耗材
  • Who We Serve
    • 抗体治疗解决方案
    • 细胞与基因治疗解决方案
    • 学术科研
    • 工业与应用
  • 联系我们
  • 货号直购
  • 订单查询
  • 查找文件&证书
Thermo Fisher Scientific Logo

Search

搜索全部或下列指定分类
Search button
          • 联系我们
          • 货号直购
          • 登录
            登录
            没有账号?建立账号 注册
            • 我的账号
            • 订单
            • 会员中心
            • 账单及发票查询
            • 定制产品及项目
          • Primary Antibodies ›
          • SPHK1 Antibodies

          Invitrogen

          SPHK1 Polyclonal Antibody

          3个已发表图片
          2 篇参考文献
          查看其他27个SPHK1抗体

          {{$productOrderCtrl.translations['antibody.pdp.commerceCard.promotion.promotions']}}

          {{$productOrderCtrl.translations['antibody.pdp.commerceCard.promotion.viewpromo']}}

          {{$productOrderCtrl.translations['antibody.pdp.commerceCard.promotion.promocode']}}: {{promo.promoCode}} {{promo.promoTitle}} {{promo.promoDescription}}. {{$productOrderCtrl.translations['antibody.pdp.commerceCard.promotion.learnmore']}}

          说明书
          证书
          实验方案
          问题与答案
          技术支持
          说明书
          证书
          实验方案
          问题与答案
          技术支持
          说明书
          证书
          实验方案
          问题与答案
          技术支持

          Cite SPHK1 Polyclonal Antibody

          Additional Information:
          {{banner.description}}
          {{$ctrl.isSkuNotesCollapsed ? 'View more' : 'View less'}}
          • 抗体检测数据 (5)
          • 已发表图片 (3)
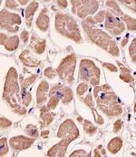
          SPHK1 Antibody in Immunohistochemistry (Paraffin) (IHC (P))
          Group 53 Created with Sketch.
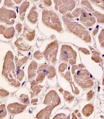
          SPHK1 Antibody in Immunohistochemistry (Paraffin) (IHC (P))
          Group 53 Created with Sketch.

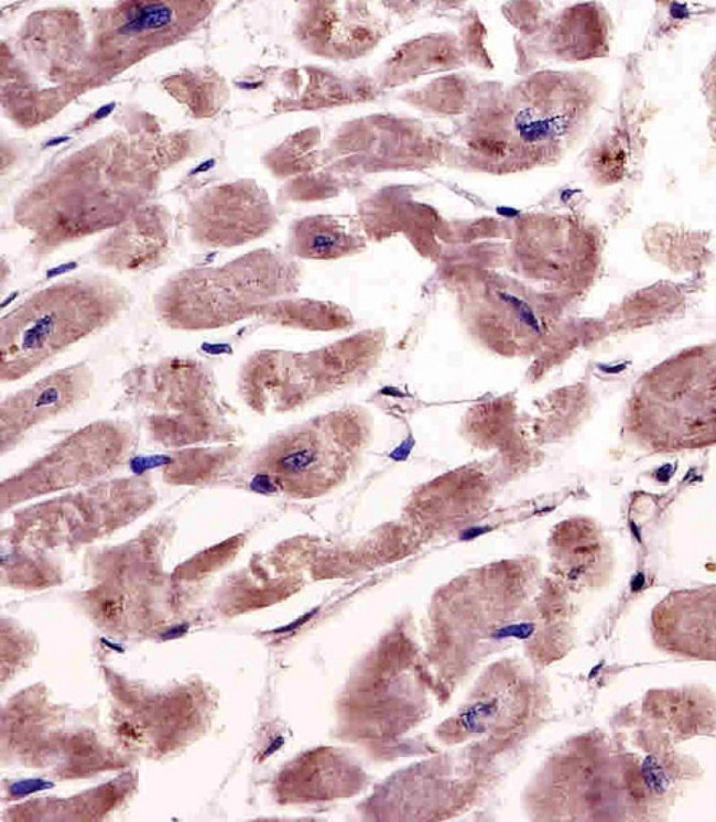
          图: 1 / 8

          {{ $ctrl.currentElement.advancedVerification.fullName }}
          {{ $ctrl.currentElement.advancedVerification.text }}

          SPHK1 Antibody (PA5-14068) in IHC (P)

          Immunohistochemistry analysis of SPHK1 in paraformaldehyde-fixed, paraffin-embedded human heart tissue sections. Samples were incubated with SPHK1 polyclonal antibody (Product # PA5-14068) using a dilution of 1:25 for 1 hours at 37°C followed by an undiluted biotinylated goat polyvalent antibody. Tissue was fixed with formaldehyde and blocked with 3% BSA for 0.5 hour at room temperature; antigen retrieval w... View More {{ $ctrl.currentElement.advancedVerification.fullName }} 验证信息 View more
          已发表图片由___提供 benchsci-logo
          PMID: {{$ctrl.currentElement.benchSciPubmedId}}
          查看产品

          {{$ctrl.videoDesc}}

          {{$ctrl.videoLongDesc}}

          SPHK1 Antibody in Immunohistochemistry (Paraffin) (IHC (P))
          SPHK1 Antibody in Immunohistochemistry (Paraffin) (IHC (P))
          SPHK1 Antibody in Western Blot (WB)
          SPHK1 Antibody in Western Blot (WB)
          SPHK1 Antibody in Western Blot (WB)
          SPHK1 Antibody in Western Blot (WB)
          SPHK1 Antibody in Western Blot (WB)
          SPHK1 Antibody in Western Blot (WB)
          SPHK1 Polyclonal Antibody

          产品信息

          PA5-14068

          应用
          建议稀释比
          已发表文章

          免疫印迹 (WB)

          1:2,000
          查看2篇已发表文章 2篇已发表文章

          免疫组化(石蜡) (IHC (P))

          1:25
          -
          产品规格

          种属反应

          Human, Mouse, Rat

          已发表种属

          Mouse

          宿主/亚型

          Rabbit / IgG

          分类

          Polyclonal

          类型

          Antibody

          抗原

          KLH conjugated synthetic peptide between 286-315 amino acids from the central region of human SPHK1
          3D表位/免疫原

          偶联物

          Unconjugated Unconjugated Unconjugated

          形式

          Liquid

          浓度

          2 mg/mL

          规格

          400 µg

          纯化类型

          Antigen affinity chromatography, Protein A

          保存液

          PBS, pH 7.4

          内含物

          0.09% sodium azide

          保存条件

          Store at 4°C short term. For long term storage, store at -20°C, avoiding freeze/thaw cycles.

          运输条件

          Ambient (domestic); Wet ice (international)

          RRID

          AB_2195819

          靶标信息

          SPHK1, along with SPHK2, catalyzes the phosphorylation of sphingosine producing the signaling molecule sphingosine-1-phosphate (S1P). S1P signals through G-protein coupled receptors and controls diverse cellular processes. Inhibitors of SPHKs are viewed as potential therapeutics for the treatment of cancer. SPHK1 catalyzes the phosphorylation of sphingosine to sphingosine 1 phosphate (S1P), an important signaling molecule with intra- and extracellular functions. Inside the cell S1P acts as a signaling molecule like other sphingolipid metabolites like ceramide and sphingosine. S1P has been implicated in regulating cell differentiation, calcium mobilization from intracellular stores, and apoptosis. The cell surface receptors for S1P are the EDG family of G protein-coupled receptors (S1P Receptors).

          仅用于科研。不用于诊断过程。未经明确授权不得转售。

          生物信息学

          蛋白别名: Acetyltransferase SPHK1; RP23-193A16.4; SK 1; SKase; Sphingosine kinase 1; SPK 1; unnamed protein product

          查看更多 收起

          基因别名: 1110006G24Rik; SK1; SPHK; SPHK1; SPK; Spk1

          查看更多 收起

          UniProt ID: (Human) Q9NYA1, (Rat) Q91V26, (Mouse) Q8CI15

          查看更多 收起

          Entrez Gene ID: (Human) 8877, (Rat) 170897, (Mouse) 20698

          查看更多 收起

          功能
          nucleotide binding magnesium ion binding lipid kinase activity DNA binding protein binding calmodulin binding ATP binding lipid binding sphinganine kinase activity kinase activity acetyltransferase activity transferase activity sphingosine-1-phosphate receptor activity protein phosphatase 2A binding NAD+ kinase activity diacylglycerol kinase activity D-erythro-sphingosine kinase activity kinase
          参与通路
          blood vessel development sphingosine-1-phosphate signaling pathway protein acetylation lipid metabolic process sphingosine metabolic process inflammatory response brain development cell proliferation positive regulation of cell proliferation regulation of gene expression positive regulation of peptidyl-threonine phosphorylation regulation of tumor necrosis factor-mediated signaling pathway calcium-mediated signaling regulation of endocytosis sphingolipid biosynthetic process positive regulation of cell growth positive regulation of cell migration positive regulation of protein ubiquitination regulation of interleukin-1 beta production positive regulation of interleukin-17 production regulation of cellular amide metabolic process response to tumor necrosis factor intracellular signal transduction cellular response to vascular endothelial growth factor stimulus negative regulation of apoptotic process positive regulation of angiogenesis positive regulation of mitotic nuclear division positive regulation of mitotic cell cycle positive regulation of smooth muscle contraction sphingosine biosynthetic process sphingoid catabolic process regulation of lipid biosynthetic process positive regulation of fibroblast proliferation regulation of phagocytosis regulation of transport positive regulation of NF-kappaB transcription factor activity regulation of multicellular organismal process cellular response to hydrogen peroxide cellular response to growth factor stimulus DNA biosynthetic process sphingolipid mediated signaling pathway regulation of neuroinflammatory response negative regulation of ceramide biosynthetic process positive regulation of p38MAPK cascade positive regulation of NIK/NF-kappaB signaling regulation of microglial cell activation regulation of endosomal vesicle fusion positive regulation of protein phosphorylation positive regulation of neurotransmitter secretion protein kinase C-activating G-protein coupled receptor signaling pathway female pregnancy cellular response to starvation positive regulation of neuron projection development response to organic cyclic compound response to amine cyclooxygenase pathway response to magnesium ion response to progesterone response to ATP positive regulation of NF-kappaB import into nucleus lipid phosphorylation response to interleukin-1 phosphorylation
          It has to be done as per old AB suggested Products section.

          Disclaimer

          Close

          Clicking the images or links will redirect you to a website hosted by BenchSci that provides third-party scientific content. Neither the content nor the BenchSci technology and processes for selection have been evaluated by us; we are providing them as-is and without warranty of any kind, including for use or application of the Thermo Fisher Scientific products presented.

          guarantee_icon

          性能保障

          只要您发现Invitrogen抗体在实验中的表现与网站或说明书的所述内容不符,您即可享受免费退换货服务。*

          了解更多
          help_icon

          随时为您服务

          获取常见问题的专家解答,或者直接联系我们的技术专家,咨询应用、设备、常规产品使用问题。

          联系技术支持
          订购 Plus Icon Minus Icon
          • 订单状态查询
          • 订单支持
          • 货号直购
          • 现货供应中心
          • 电子采购
          支持 Plus Icon Minus Icon
          • 帮助&支持
          • 联系我们 - 400 820 8982
          • 技术支持中心
          • 查找文件&证书
          • 报告网站问题
          资源 Plus Icon Minus Icon
          • 学习中心
          • 促销
          • 活动&研讨会
          • 社交媒体
          关于赛默飞 Plus Icon Minus Icon
          • 关于我们
          • 招聘 招聘
          • 投资者关系 投资者关系
          • 新闻 新闻
          • 社会责任 社会责任
          • 商标
          • 政策和通知
          品牌 Plus Icon Minus Icon
          • Thermo Scientific
          • Applied Biosystems
          • Invitrogen
          • Gibco
          • Ion Torrent
          • Unity Lab Services
          • Patheon
          • PPD
          • 服务条款
          • 隐私政策
          • 定价和运输保险政策
          © 2006-2026 Thermo Fisher Scientific Inc. All rights reserved. All trademarks are the property of Thermo Fisher Scientific and its subsidiaries unless otherwise specified.
          China flag icon
          China
          本网站销售的所有产品均不得用于人类或动物之临床诊断或治疗,仅可用于工业或者科研等非医疗目的。
             电子营业执照 | 经营证照公示 | ICP备案号:沪ICP备11003924号 | 沪公网安备 31011502006935号

          Your items have has been added!


          Host server : magellan-search-green-6479c7f679-v472f:80/100.66.78.195:80.
          git-commit: b70c0dceb888abc3b0dcebb5bc3a5b8753e7e816
          git-url: https://github.com/thermofisher/magellan-search
          git-branch: release/2.50.0-Offline