Hamburger Menu Button
Thermo Fisher Scientific Logo
登录
没有账号?建立账号 注册
  • 产品
    • 抗体
    • 引物合成
    • GeneArt Gene Synthesis Instant Designer
    • TaqMan Assay and Array Search
    • PCR 设备和耗材
    • 色谱柱和纯化柱
    • 实验室离心机
    • 分子生物学试剂和试剂盒
    • 实验室塑料耗材及用品
    • 查看所有产品分类
  • 应用和技术
    • 色谱
    • 细胞转染和培养
    • 实时荧光定量PCR
    • 质谱
    • 实验室塑料耗材及用品
    • 电子显微镜
    • 蛋白质生物学
    • PCR
    • RNAi
    • 环境
    • 查看所有应用和技术
  • 服务
    • 定制服务
    • 企业级实验室信息化服务
    • 金融&租赁服务
    • 仪器服务
    • OEM和商业供应
    • 培训服务
    • 360° CDMO 和 CRO 服务
    • CDMO 服务
    • 临床试验 CRO 服务
    • Unity Lab Services
    • 查看所有帮助和支持
  • 帮助和支持
    • 学习中心
    • 联系我们
    • 更改国家或地区
    • 查看所有帮助和支持
  • 热门产品
    • TaqMan Real-Time PCR Assays
      TaqMan 实时荧光定量 PCR 试剂盒
    • Antibodies
      抗体
    • Oligos, Primers & Probes
      寡核苷酸、引物、探针
    • GeneArt Gene Synthesis
      GeneArt 基因合成
    • Cell Culture Plastics
      细胞培养耗材
  • Who We Serve
    • 抗体治疗解决方案
    • 细胞与基因治疗解决方案
    • 学术科研
    • 工业与应用
  • 联系我们
  • 货号直购
  • 订单查询
  • 查找文件&证书
Thermo Fisher Scientific Logo

Search

搜索全部或下列指定分类
Search button
          • 联系我们
          • 货号直购
          • 登录
            登录
            没有账号?建立账号 注册
            • 我的账号
            • 订单
            • 会员中心
            • 账单及发票查询
            • 定制产品及项目
          • Primary Antibodies ›
          • Syk Antibodies

          Bethyl Laboratories

          SYK Polyclonal Antibody

          查看其他48个Syk抗体

          {{$productOrderCtrl.translations['antibody.pdp.commerceCard.promotion.promotions']}}

          {{$productOrderCtrl.translations['antibody.pdp.commerceCard.promotion.viewpromo']}}

          {{$productOrderCtrl.translations['antibody.pdp.commerceCard.promotion.promocode']}}: {{promo.promoCode}} {{promo.promoTitle}} {{promo.promoDescription}}. {{$productOrderCtrl.translations['antibody.pdp.commerceCard.promotion.learnmore']}}

          说明书
          证书
          实验方案
          问题与答案
          技术支持
          说明书
          证书
          实验方案
          问题与答案
          技术支持
          说明书
          证书
          实验方案
          问题与答案
          技术支持

          Cite SYK Polyclonal Antibody

          Additional Information:
          {{banner.description}}
          {{$ctrl.isSkuNotesCollapsed ? 'View more' : 'View less'}}
          • 抗体检测数据 (2)
          SYK Antibody in Immunohistochemistry (Paraffin) (IHC (P))
          Group 53 Created with Sketch.
          SYK Antibody in Immunohistochemistry (Paraffin) (IHC (P))
          Group 53 Created with Sketch.

          图: 1 / 2

          {{ $ctrl.currentElement.advancedVerification.fullName }}
          {{ $ctrl.currentElement.advancedVerification.text }}

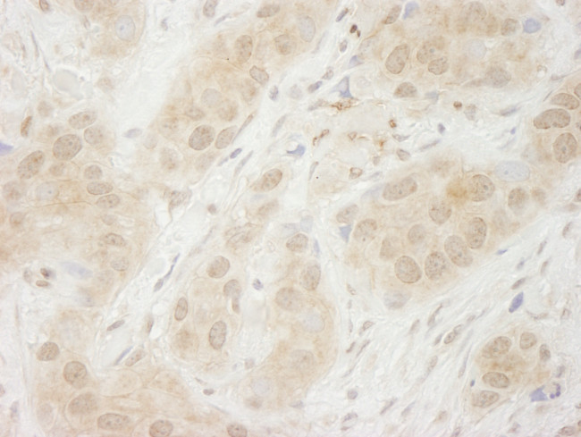
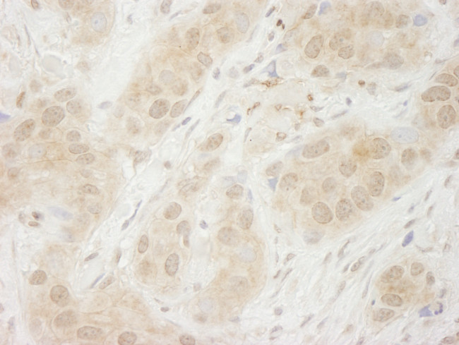
          SYK Antibody (IHC-00443) in IHC (P)

          Detection of human SYK by immunohistochemistry. Sample: FFPE section of human breast carcinoma. Antibody: Affinity purified rabbit anti-SYK (Product # IHC-00443) used at a dilution of 1:250. Detection: DAB. {{ $ctrl.currentElement.advancedVerification.fullName }} 验证信息 View more
          已发表图片由___提供 benchsci-logo
          PMID: {{$ctrl.currentElement.benchSciPubmedId}}
          查看产品

          {{$ctrl.videoDesc}}

          {{$ctrl.videoLongDesc}}

          SYK Antibody in Immunohistochemistry (Paraffin) (IHC (P))
          SYK Antibody in Immunohistochemistry (Paraffin) (IHC (P))
          SYK Polyclonal Antibody

          产品信息

          IHC-00443

          应用
          建议稀释比
          已发表文章

          免疫组化 (IHC)

          1:100-1:500
          -

          免疫组化(石蜡) (IHC (P))

          1:100-1:500
          -
          产品规格

          种属反应

          Human

          宿主/亚型

          Rabbit / IgG

          分类

          Polyclonal

          类型

          Antibody

          抗原

          Region between residues 250 and 300 of Human Spleen Tyrosine Kinase.
          3D表位/免疫原

          偶联物

          Unconjugated Unconjugated Unconjugated

          形式

          Liquid

          浓度

          0.25 mg/mL

          规格

          25 µg

          纯化类型

          Antigen affinity chromatography

          保存液

          TBS, pH 7.0 to 8.0, with 0.1% BSA

          内含物

          0.09% sodium azide

          保存条件

          4°C

          运输条件

          Ambient (domestic); Wet ice (international)

          产品详细信息

          The recommended shelf life for this product is 1 year from date of receipt.

          Based on 100% sequence identity, this antibody is predicted to react with Orangutan, Monkey, Gorilla, Chimpanzee, Northern white-cheeked gibbon and Crab-eating macaque

          靶标信息

          Spleen tyrosine kinase (SYK), along with ZAP70, are cytoplasmic tyrosine kinases that are viewed as potential druge targets for allergic disorders and autoimmune diseases. SYK may also play a role in cancer. Syk translocates to the plasma membrane upon B cell antigen receptor (BCR) or the high-affinity IgE receptor (FcepsilonRI) triggering, and phosphorylates downstream adaptor proteins, thereby providing docking sites for initiation of subsequent signaling pathways, such as calcium mobilization, cytoskeleton remodeling, or transcription of specific genes. Syk binds to the receptor assemblies through interactions of its pair of SH2 domains with ITAM motives of the receptor, which have been phosphorylated by Src-family kinases. These kinases also help to activate Syk by phosphorylation of its activation loop.

          仅用于科研。不用于诊断过程。未经明确授权不得转售。

          篇参考文献 (0)

          您是否在文献中引用过该产品?请点击下方按钮邮件告知我们。
          引用该产品

          生物信息学

          蛋白别名: DKFZp313N1010; EC 2.7.10.2; FLJ25043; FLJ37489; HGNC:11205; kinase Syk; KSYK; p72-Syk; SP1; Spleen tyrosine kinase; syk signaling; tyrosine-kinase syk; Tyrosine-protein kinase SYK; unnamed protein product

          查看更多 收起

          基因别名: IMD82; p72-Syk; SYK

          查看更多 收起

          UniProt ID: (Human) P43405

          查看更多 收起

          Entrez Gene ID: (Human) 6850

          查看更多 收起

          功能
          nucleotide binding phosphotyrosine binding protein kinase activity protein serine/threonine kinase activity protein tyrosine kinase activity non-membrane spanning protein tyrosine kinase activity receptor binding integrin binding protein binding ATP binding interleukin-15 receptor binding kinase activity transferase activity protein kinase binding phosphatase binding Toll-like receptor binding SH2 domain binding phospholipase binding scaffold protein binding
          参与通路
          autophagosome assembly angiogenesis cell activation positive regulation of cytokine production serotonin secretion lymph vessel development positive regulation of receptor internalization stimulatory C-type lectin receptor signaling pathway adaptive immune response macrophage activation involved in immune response neutrophil activation involved in immune response leukocyte activation involved in immune response immune system process serotonin secretion by platelet cell surface pattern recognition receptor signaling pathway negative regulation of inflammatory response to antigenic stimulus protein phosphorylation protein import into nucleus leukocyte cell-cell adhesion cell surface receptor signaling pathway enzyme linked receptor protein signaling pathway integrin-mediated signaling pathway organ morphogenesis negative regulation of autophagy positive regulation of autophagy regulation of platelet activation regulation of tumor necrosis factor-mediated signaling pathway peptidyl-tyrosine phosphorylation leukotriene biosynthetic process calcium-mediated signaling platelet activation B cell differentiation neutrophil chemotaxis positive regulation of protein complex assembly receptor internalization cellular response to nutrient levels positive regulation of type I interferon production positive regulation of granulocyte macrophage colony-stimulating factor production positive regulation of interleukin-10 production positive regulation of interleukin-12 production positive regulation of interleukin-3 production positive regulation of interleukin-4 production positive regulation of interleukin-6 production positive regulation of interleukin-8 production positive regulation of tumor necrosis factor production positive regulation of mast cell cytokine production regulation of superoxide anion generation positive regulation of superoxide anion generation positive regulation of cell adhesion mediated by integrin intracellular signal transduction collagen-activated tyrosine kinase receptor signaling pathway Fc-epsilon receptor signaling pathway Fc-gamma receptor signaling pathway involved in phagocytosis interleukin-3-mediated signaling pathway TORC1 signaling gamma-delta T cell differentiation defense response to bacterium mast cell degranulation positive regulation of mast cell degranulation regulation of neutrophil degranulation beta selection positive regulation of MAPK cascade innate immune response positive regulation of B cell differentiation positive regulation of gamma-delta T cell differentiation positive regulation of lymphocyte differentiation positive regulation of bone resorption positive regulation of alpha-beta T cell differentiation positive regulation of alpha-beta T cell proliferation blood vessel morphogenesis regulation of phagocytosis regulation of immune response positive regulation of calcium-mediated signaling B cell receptor signaling pathway leukocyte migration regulation of sequence-specific DNA binding transcription factor activity establishment of localization in cell regulation of ERK1 and ERK2 cascade cellular response to molecule of fungal origin cellular response to lipid cellular response to low-density lipoprotein particle stimulus positive regulation of monocyte chemotactic protein-1 production regulation of arachidonic acid secretion regulation of platelet aggregation apoptotic signaling pathway beta-amyloid clearance positive regulation of cold-induced thermogenesis negative regulation of TORC1 signaling positive regulation of TORC1 signaling cellular response to beta-amyloid cellular response to lectin
          It has to be done as per old AB suggested Products section.

          Disclaimer

          Close

          Clicking the images or links will redirect you to a website hosted by BenchSci that provides third-party scientific content. Neither the content nor the BenchSci technology and processes for selection have been evaluated by us; we are providing them as-is and without warranty of any kind, including for use or application of the Thermo Fisher Scientific products presented.

          guarantee_icon

          性能保障

          只要您发现Invitrogen抗体在实验中的表现与网站或说明书的所述内容不符,您即可享受免费退换货服务。*

          了解更多
          help_icon

          随时为您服务

          获取常见问题的专家解答,或者直接联系我们的技术专家,咨询应用、设备、常规产品使用问题。

          联系技术支持
          订购 Plus Icon Minus Icon
          • 订单状态查询
          • 订单支持
          • 货号直购
          • 现货供应中心
          • 电子采购
          支持 Plus Icon Minus Icon
          • 帮助&支持
          • 联系我们 - 400 820 8982
          • 技术支持中心
          • 查找文件&证书
          • 报告网站问题
          资源 Plus Icon Minus Icon
          • 学习中心
          • 促销
          • 活动&研讨会
          • 社交媒体
          关于赛默飞 Plus Icon Minus Icon
          • 关于我们
          • 招聘 招聘
          • 投资者关系 投资者关系
          • 新闻 新闻
          • 社会责任 社会责任
          • 商标
          • 政策和通知
          品牌 Plus Icon Minus Icon
          • Thermo Scientific
          • Applied Biosystems
          • Invitrogen
          • Gibco
          • Ion Torrent
          • Unity Lab Services
          • Patheon
          • PPD
          • 服务条款
          • 隐私政策
          • 定价和运输保险政策
          © 2006-2026 Thermo Fisher Scientific Inc. All rights reserved. All trademarks are the property of Thermo Fisher Scientific and its subsidiaries unless otherwise specified.
          China flag icon
          China
          本网站销售的所有产品均不得用于人类或动物之临床诊断或治疗,仅可用于工业或者科研等非医疗目的。
             电子营业执照 | 经营证照公示 | ICP备案号:沪ICP备11003924号 | 沪公网安备 31011502006935号

          Your items have has been added!


          Host server : magellan-search-green-6479c7f679-l2s7p:80/100.66.76.236:80.
          git-commit: b70c0dceb888abc3b0dcebb5bc3a5b8753e7e816
          git-url: https://github.com/thermofisher/magellan-search
          git-branch: release/2.50.0-Offline