Hamburger Menu Button
Thermo Fisher Scientific Logo
登录
没有账号?建立账号 注册
  • 产品
    • 抗体
    • 引物合成
    • GeneArt Gene Synthesis Instant Designer
    • TaqMan Assay and Array Search
    • PCR 设备和耗材
    • 色谱柱和纯化柱
    • 实验室离心机
    • 分子生物学试剂和试剂盒
    • 实验室塑料耗材及用品
    • 查看所有产品分类
  • 应用和技术
    • 色谱
    • 细胞转染和培养
    • 实时荧光定量PCR
    • 质谱
    • 实验室塑料耗材及用品
    • 电子显微镜
    • 蛋白质生物学
    • PCR
    • RNAi
    • 环境
    • 查看所有应用和技术
  • 服务
    • 定制服务
    • 企业级实验室信息化服务
    • 金融&租赁服务
    • 仪器服务
    • OEM和商业供应
    • 培训服务
    • 360° CDMO 和 CRO 服务
    • CDMO 服务
    • 临床试验 CRO 服务
    • Unity Lab Services
    • 查看所有帮助和支持
  • 帮助和支持
    • 学习中心
    • 联系我们
    • 更改国家或地区
    • 查看所有帮助和支持
  • 热门产品
    • TaqMan Real-Time PCR Assays
      TaqMan 实时荧光定量 PCR 试剂盒
    • Antibodies
      抗体
    • Oligos, Primers & Probes
      寡核苷酸、引物、探针
    • GeneArt Gene Synthesis
      GeneArt 基因合成
    • Cell Culture Plastics
      细胞培养耗材
  • Who We Serve
    • 抗体治疗解决方案
    • 细胞与基因治疗解决方案
    • 学术科研
    • 工业与应用
  • 联系我们
  • 货号直购
  • 订单查询
  • 查找文件&证书
Thermo Fisher Scientific Logo

Search

搜索全部或下列指定分类
Search button
          • 联系我们
          • 货号直购
          • 登录
            登录
            没有账号?建立账号 注册
            • 我的账号
            • 订单
            • 会员中心
            • 账单及发票查询
            • 定制产品及项目
          • Primary Antibodies ›
          • USP9X Antibodies

          OriGene

          USP9X Monoclonal Antibody (OTI2G7), TrueMAB™

          查看其他20个USP9X抗体

          {{$productOrderCtrl.translations['antibody.pdp.commerceCard.promotion.promotions']}}

          {{$productOrderCtrl.translations['antibody.pdp.commerceCard.promotion.viewpromo']}}

          {{$productOrderCtrl.translations['antibody.pdp.commerceCard.promotion.promocode']}}: {{promo.promoCode}} {{promo.promoTitle}} {{promo.promoDescription}}. {{$productOrderCtrl.translations['antibody.pdp.commerceCard.promotion.learnmore']}}

          说明书
          证书
          实验方案
          问题与答案
          技术支持
          说明书
          证书
          实验方案
          问题与答案
          技术支持
          说明书
          证书
          实验方案
          问题与答案
          技术支持

          Cite USP9X Monoclonal Antibody (OTI2G7), TrueMAB™

          Additional Information:
          {{banner.description}}
          {{$ctrl.isSkuNotesCollapsed ? 'View more' : 'View less'}}
          • 抗体检测数据 (10)
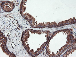
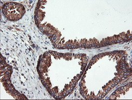
          USP9X Antibody in Immunohistochemistry (Paraffin) (IHC (P))
          Group 53 Created with Sketch.
          USP9X Antibody in Immunohistochemistry (Paraffin) (IHC (P))
          Group 53 Created with Sketch.

          图: 1 / 10

          {{ $ctrl.currentElement.advancedVerification.fullName }}
          {{ $ctrl.currentElement.advancedVerification.text }}

          USP9X Antibody (CF800088) in IHC (P)

          Immunohistochemical staining of paraffin-embedded human prostate tissue within the normal limits using anti-USP9X mouse monoclonal antibody. (Heat-induced epitope retrieval by 10mM citric buffer, pH6.0, 100°C for 10min, TA800088) {{ $ctrl.currentElement.advancedVerification.fullName }} 验证信息 View more
          已发表图片由___提供 benchsci-logo
          PMID: {{$ctrl.currentElement.benchSciPubmedId}}
          查看产品

          {{$ctrl.videoDesc}}

          {{$ctrl.videoLongDesc}}

          USP9X Antibody in Immunohistochemistry (Paraffin) (IHC (P))
          USP9X Antibody in Immunohistochemistry (Paraffin) (IHC (P))
          USP9X Antibody in Immunohistochemistry (Paraffin) (IHC (P))
          USP9X Antibody in Immunohistochemistry (Paraffin) (IHC (P))
          USP9X Antibody in Immunohistochemistry (Paraffin) (IHC (P))
          USP9X Antibody in Immunohistochemistry (Paraffin) (IHC (P))
          USP9X Antibody in Immunohistochemistry (Paraffin) (IHC (P))
          USP9X Antibody in Immunohistochemistry (Paraffin) (IHC (P))
          USP9X Antibody in Western Blot (WB)
          USP9X Antibody in Western Blot (WB)

          产品信息

          CF800088

          应用
          建议稀释比
          已发表文章

          免疫印迹 (WB)

          1:500-1:2,000
          -

          免疫组化(石蜡) (IHC (P))

          1:150
          -
          产品规格

          种属反应

          Dog, Human, Mouse, Rat

          宿主/亚型

          Mouse / IgG2a

          分类

          Monoclonal

          类型

          Antibody

          克隆号

          OTI2G7

          抗原

          Human recombinant protein fragment corresponding to amino acids 2246-2570 of human USP9X produced in E.coli.

          偶联物

          Unconjugated Unconjugated Unconjugated

          形式

          Lyophilized

          浓度

          1 mg/mL

          规格

          100 µg

          纯化类型

          Affinity chromatography

          保存液

          PBS, pH 7.3, with 8% trehalose

          内含物

          no preservative

          保存条件

          -20°C, Avoid Freeze/Thaw Cycles

          运输条件

          Ambient (domestic); Wet ice (international)

          产品详细信息

          For reconstitution, we recommend adding 100 µL distilled water to a final antibody concentration of about 1 mg/mL. To use this carrier-free antibody for conjugation experiments, we strongly recommend performing another round of desalting. (Zeba Spin Desalting Columns, 7KMWCO, 0.5 mL, Product # 89882)

          靶标信息

          USP9X is an ubiquitin-specific protease involved in the removal and recycling of ubiquitin from proteins degraded in proteasomes. As a deubiquitinating enzyme, USP9x has a critical function in tight junction biogenesis by controlling the levels of the exchange factor for Arf6 (EFA6), a protein shown to facilitate tight junction formation during a narrow temporal window preceding the establishment of cell polarity. USP9X is also located on the X-chromosome but escapes X-inactivation, and defects in USP9X may cause gonadal degeneration in Turner syndrome.

          仅用于科研。不用于诊断过程。未经明确授权不得转售。

          篇参考文献 (0)

          您是否在文献中引用过该产品?请点击下方按钮邮件告知我们。
          引用该产品

          生物信息学

          蛋白别名: Deubiquitinating enzyme FAF-X; Drosophila fat facets related, X-linked; Fat facets homolog; Fat facets in mammals; fat facets protein related, X-linked; Fat facets protein-related, X-linked; fat facets-like, X-linked; fats facets protein related, X; hFAM; probable ubiquitin carboxyl-terminal hydrolase FAF-X; similar to Homo sapiens ubiquitin hydrolase encoded by GenBank Accession Number X98296; Ubiquitin carboxyl-terminal hydrolase 9X; Ubiquitin carboxyl-terminal hydrolase FAM; ubiquitin specific peptidase 9, X chromosome; ubiquitin specific protease 9 SSSRF- isoform; ubiquitin specific protease 9, X chromosome; ubiquitin specific protease 9, X chromosome (fat facets-like Drosophila); Ubiquitin thioesterase FAF-X; ubiquitin thiolesterase FAF-X; ubiquitin-specific processing protease FAF-X; Ubiquitin-specific protease 9, X chromosome; Ubiquitin-specific-processing protease FAF-X; unnamed protein product

          查看更多 收起

          基因别名: 5730589N07Rik; AA407302; AA407699; AL022658; AL022749; DFFRX; FAF; FAF-X; Fafl; FAM; hFAM; MRX99; MRXS99F; RGD1560056; USP9; USP9X; XLID99

          查看更多 收起

          UniProt ID: (Human) Q93008, (Mouse) P70398

          查看更多 收起

          Entrez Gene ID: (Dog) 480885, (Human) 8239, (Mouse) 22284, (Rat) 363445

          查看更多 收起

          功能
          cysteine-type endopeptidase activity thiol-dependent ubiquitin-specific protease activity protein binding peptidase activity cysteine-type peptidase activity hydrolase activity Lys63-specific deubiquitinase activity co-SMAD binding ubiquitinyl hydrolase activity molecular sequestering activity K11-linked deubiquitinase activity Lys48-specific deubiquitinase activity thiol-dependent ubiquitinyl hydrolase activity cysteine protease
          参与通路
          negative regulation of transcription from RNA polymerase II promoter neuron migration DNA dealkylation involved in DNA repair proteolysis chromosome segregation transforming growth factor beta receptor signaling pathway female gamete generation protein localization cell migration protein import into peroxisome matrix protein import into peroxisome matrix, receptor recycling protein ubiquitination protein deubiquitination BMP signaling pathway regulation of protein stability positive regulation of protein binding negative regulation of proteasomal ubiquitin-dependent protein catabolic process monoubiquitinated protein deubiquitination regulation of circadian rhythm rhythmic process axon extension protein stabilization cell division cilium morphogenesis cytosolic ciliogenesis protein K63-linked deubiquitination protein deubiquitination involved in ubiquitin-dependent protein catabolic process negative regulation of cilium assembly positive regulation of TORC2 signaling amyloid fibril formation in utero embryonic development ubiquitin-dependent protein catabolic process cell cycle mitotic nuclear division post-embryonic development cerebellar cortex structural organization hippocampus development proteasome-mediated ubiquitin-dependent protein catabolic process regulation of proteasomal protein catabolic process cellular response to transforming growth factor beta stimulus neuron projection extension
          It has to be done as per old AB suggested Products section.

          Disclaimer

          Close

          Clicking the images or links will redirect you to a website hosted by BenchSci that provides third-party scientific content. Neither the content nor the BenchSci technology and processes for selection have been evaluated by us; we are providing them as-is and without warranty of any kind, including for use or application of the Thermo Fisher Scientific products presented.

          guarantee_icon

          性能保障

          只要您发现Invitrogen抗体在实验中的表现与网站或说明书的所述内容不符,您即可享受免费退换货服务。*

          了解更多
          help_icon

          随时为您服务

          获取常见问题的专家解答,或者直接联系我们的技术专家,咨询应用、设备、常规产品使用问题。

          联系技术支持
          订购 Plus Icon Minus Icon
          • 订单状态查询
          • 订单支持
          • 货号直购
          • 现货供应中心
          • 电子采购
          支持 Plus Icon Minus Icon
          • 帮助&支持
          • 联系我们 - 400 820 8982
          • 技术支持中心
          • 查找文件&证书
          • 报告网站问题
          资源 Plus Icon Minus Icon
          • 学习中心
          • 促销
          • 活动&研讨会
          • 社交媒体
          关于赛默飞 Plus Icon Minus Icon
          • 关于我们
          • 招聘 招聘
          • 投资者关系 投资者关系
          • 新闻 新闻
          • 社会责任 社会责任
          • 商标
          • 政策和通知
          品牌 Plus Icon Minus Icon
          • Thermo Scientific
          • Applied Biosystems
          • Invitrogen
          • Gibco
          • Ion Torrent
          • Unity Lab Services
          • Patheon
          • PPD
          • 服务条款
          • 隐私政策
          • 定价和运输保险政策
          © 2006-2026 Thermo Fisher Scientific Inc. All rights reserved. All trademarks are the property of Thermo Fisher Scientific and its subsidiaries unless otherwise specified.
          China flag icon
          China
          本网站销售的所有产品均不得用于人类或动物之临床诊断或治疗,仅可用于工业或者科研等非医疗目的。
             电子营业执照 | 经营证照公示 | ICP备案号:沪ICP备11003924号 | 沪公网安备 31011502006935号

          Your items have has been added!


          Host server : magellan-search-green-6479c7f679-v472f:80/100.66.78.195:80.
          git-commit: b70c0dceb888abc3b0dcebb5bc3a5b8753e7e816
          git-url: https://github.com/thermofisher/magellan-search
          git-branch: release/2.50.0-Offline