Search
Search
有了CellInsight CX7高内涵筛选平台,您可自行选择成像模式以从样本中提取所需信息,然后使用整个荧光光谱来优化自己的实验,并针对任一通道选择宽视场或共聚焦光学系统。此外,您还可采用4色明场选项进行组织切片的比色分析。尽管下一次实验项目始终无法预料,但CellInsight CX7 HCS平台总能满足您的一切需求。
| 光源 | 7通道固态LED灯 |
|---|---|
| 相机 | Photometrics低温制冷科研级CCD |
| 宽视场 | 7通道荧光成像 |
| 明场 | 4色LED + 白光LED |
| 彩色明视野成像模块 | 用于可见光彩色免疫组化成像分析 |
| 共聚焦 | 双pinhole转盘共聚焦 |
| 物镜 | 3位物镜,1.25X-100X,多种数值孔径(NA)可选 |
| 聚焦 | 软件或激光自动聚焦,确保扫描时间一致 |
| 活细胞 | 活细胞培养环境室 温度控制系统:三维温度控制,室温~40℃; CO2控制:可以自由调节浓度0%~20%; O2控制:1% 至环境浓度; 湿度控制:相对饱和湿度不低于90%; |
| 自动化 | 全自动反应板处理和扫描配置 |
| 软件 | HCS Studio™软件,整合数据收集和分析功能 |
经过Thermo Scientific™ CellInsight™ CX7平台成像并采用 Invitrogen™ HCS NuclearMask™ Blue (蓝色), Invitrogen™ MitoTracker™ Orange (绿色)和 Invitrogen™ Alexa Fluor™ 647 Phalloidin (红色)染色获得的HeLa细胞图像。
经过Thermo Scientific™ CellInsight™ CX7平台成像并采用 Invitrogen™ HCS CellMask™ Blue (蓝色), Invitrogen™ Alexa Fluor™ 488 Phalloidin (绿色)和 Invitrogen™ Alexa Fluor™ 750山羊抗鼠IgG二抗 (粉色)染色获得的A549细胞图像。
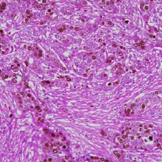
经过Thermo Scientific™ CellInsight™ CX7平台成像并采用KI67-DAB染色、 苏木精 和伊红复染获得的固定人乳腺癌组织的3色明场图像。
Molecular Probes™高内涵筛选(HCS)产品融合了我们数十载荧光成像经验,利用Thermo Scientific高内涵平台研发而成,特别考虑了高通量工作流程和自动化成像需求:
在自动化成像应用中,为了清晰地鉴定细胞和细胞核边界,需要能够可靠、可重复地标记细胞结构的基准标志物。为此,我们专门针对自动化成像应用设计了细胞染料。Molecular Probes细胞结构标签被广泛用于显微成像和HCS。
针对细胞活力、增殖凋亡、细胞周期和DNA修复、迁移、贴壁和其他细胞结构功能的分析应用,我们提供了一系列成像和显微检测实验。此类检测实验均已经过HCS平台专门的验证。
浏览不同应用的细胞健康及细胞毒性检测实验:
微孔板和玻片兼容SBS标准微孔板(6-1536孔)和玻片 自动化 | ||
Orbitor RS微孔板移动机械臂Thermo Scientific™ Orbitor™ RS微孔板移动机械臂是一种外形紧凑、工业级性能的台式移动机械臂,可显著提高通量、储存容量和操作灵活性。 Orbitor RS是一种高速微孔板移动机械臂,运行可靠、性能出色,可帮助用户灵活地处理微孔板。得益于垂直方向上的行程扩展,这款仪器能够在小面积范围内整合更多的栈架或更多仪器,双向伸缩臂则支持360°无限度旋转,为用户提供更加广泛的工作范围,同时提高操作安全性。
| ![]() |
Molecular Probes™高内涵筛选(HCS)产品融合了我们数十载荧光成像经验,利用Thermo Scientific高内涵平台研发而成,特别考虑了高通量工作流程和自动化成像需求:
在自动化成像应用中,为了清晰地鉴定细胞和细胞核边界,需要能够可靠、可重复地标记细胞结构的基准标志物。为此,我们专门针对自动化成像应用设计了细胞染料。Molecular Probes细胞结构标签被广泛用于显微成像和HCS。
针对细胞活力、增殖凋亡、细胞周期和DNA修复、迁移、贴壁和其他细胞结构功能的分析应用,我们提供了一系列成像和显微检测实验。此类检测实验均已经过HCS平台专门的验证。
浏览不同应用的细胞健康及细胞毒性检测实验:
微孔板和玻片兼容SBS标准微孔板(6-1536孔)和玻片 自动化 | ||
Orbitor RS微孔板移动机械臂Thermo Scientific™ Orbitor™ RS微孔板移动机械臂是一种外形紧凑、工业级性能的台式移动机械臂,可显著提高通量、储存容量和操作灵活性。 Orbitor RS是一种高速微孔板移动机械臂,运行可靠、性能出色,可帮助用户灵活地处理微孔板。得益于垂直方向上的行程扩展,这款仪器能够在小面积范围内整合更多的栈架或更多仪器,双向伸缩臂则支持360°无限度旋转,为用户提供更加广泛的工作范围,同时提高操作安全性。
| ![]() |
仅限研究用途,不可用于诊断操作。



