Search
Search
CELLstart 底物——首款无异种成分底物,用于附着和扩增人类胚胎、间充质和神经干细胞等。
CELLstart 无异种成分底物仅包含人源组分,可用于保持:
hESC 细胞系(BG01V、H9 和 RCM1)在无血清和无饲养层 hESC 培养基中的 CELLstart 无异种成分底物上生长,表现出正常形态(图 1),保留了多能性,并保持分化成所有三个胚层的多能分化能力。
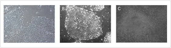
图 1. hESC 在添加了 STEMPRO hESC SFM 的 CELLstart 包被培养皿中生长,表现出正常形态。(A) BG01V 细胞(第 13 代)的相差图像 (4X)。(B) H9 细胞(第 60 代)的相差图像 (10X)。数据由伊利诺伊州芝加哥市儿童纪念研究中心的 E.Seftor 提供。(C) RCM1 细胞(第 28 代)的相差图像 (10X)。数据由 Roslin Cells Ltd. 的 B. Tye 提供
与在经典的培养基(DMEM + 10% MSC 专用合格胎牛血清)中扩增相比,hMSC 在添加了 STEMPRO MSC SFM 的 CELLStart 中生长时表现出较高的生长率,并在 5 次传代后仍保持三谱系中胚层分化潜能(图 2)。
图 2. hMSC 在添加了 STEMPRO MSC SFM 的 CELLstart 包被培养皿中生长,在长期传代过程中仍保持三谱系分化潜能。将 hMSC(第 5 代)接种到脂肪生成、软骨生成或骨生成分化培养基 14 天,显示出脂肪细胞(油红 O 脂质染料)、软骨细胞(阿尔新蓝糖胺聚糖染料)和成骨细胞(碱性磷酸酶细胞表面糖蛋白染料)。
hNSC 在添加了 CELLstart 无异种成分底物的无血清培养基中生长,表现出正常形态,同时保持了这些细胞的多能性(图 3)。
图 3. hNSC 在添加了无血清培养基的 CELLstart 底物包被培养皿中生长,表现出正常形态并表达 hNSC 标志物。(A) hNSC 细胞(第 27 代)的相差图像 (10x)。(B) hNSC(第 23 代)的免疫荧光分析显示 Nestin 表达和 C. Sox2 表达。
仅供科研使用,不可用于诊断目的。


