Hamburger Menu Button
Thermo Fisher Scientific Logo
Sign in
Don't have an account ? Create Account
  • Products
    • Antibodies
    • Custom DNA Oligos
    • GeneArt Gene Synthesis Instant Designer
    • TaqMan Assay and Array Search
    • PCR Equipment and Supplies
    • Chromatography Columns and Cartridges
    • Lab Centrifuges
    • Molecular Biology Reagents and Kits
    • Lab Plasticware and Supplies
    • See all product categories
  • Applications
    • Chromatography
    • Cell Culture
    • Real-Time PCR
    • Mass Spectrometry
    • Lab Plasticware and Supplies
    • Electron Microscopy
    • Protein Biology
    • PCR
    • RNAi
    • Environmental
    • See all applications and techniques
  • Services
    • Custom Services
    • Enterprise-Level Lab Informatics
    • Financial and Leasing Services
    • Instrument Services
    • OEM and Commercial Supply
    • Training Services
    • 360° CDMO and CRO Solutions
    • CDMO Services
    • CRO Services
    • Unity Lab Services
    • See all services
  • Help and Support
    • Learning Centers
    • Contact Us
    • Change Location
    • See all help and support topics
  • Popular
    • TaqMan Real-Time PCR Assays
      TaqMan Real-Time PCR Assays
    • Antibodies
      Antibodies
    • Oligos, Primers & Probes
      Oligos, Primers & Probes
    • GeneArt Gene Synthesis
      GeneArt Gene Synthesis
    • Cell Culture Plastics
      Cell Culture Plastics
  • Who We Serve
    • Antibody Therapy Solution
    • Cell and Gene Therapy Solution
    • Academic
    • Industrial and Applied Sciences
  • Contact Us
  • Quick Order
  • Order Status and Tracking
  • Documents and Certificates
Thermo Fisher Scientific Logo

Search

Search All
Search button
          • Contact Us
          • Quick Order
          • Sign in
            Sign in
            Don't have an account ? Create Account
            • Account
            • Check Order Status
            • AR Statement & Invoice Inquiry
            • Custom Products & Projects
            • Instrument Management
          • Primary Antibodies ›
          • by Target

          TIE2 (TEK) Antibodies

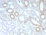
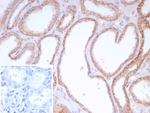
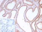
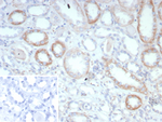
          Antibodies that detect TIE2 (TEK) can be used in several scientific applications, including Western Blot, Immunohistochemistry, ELISA, Flow Cytometry and Immunocytochemistry. These antibodies target TIE2 (TEK) in Human, Mouse, Rat, Zebrafish and Bovine samples. Our TIE2 (TEK) polyclonal,... Antibodies that detect TIE2 (TEK) can be used in several scientific applications, including Western Blot, Immunohistochemistry, ELISA, Flow Cytometry and Immunocytochemistry. These antibodies target TIE2 (TEK) in Human, Mouse, Rat, Zebrafish and Bovine samples. Our TIE2 (TEK) polyclonal, monoclonal and recombinant monoclonal antibodies... Antibodies that detect TIE2 (TEK) can be used in several scientific applications, including Western Blot, Immunohistochemistry, ELISA, Flow Cytometry and Immunocytochemistry. These antibodies target TIE2 (TEK) in Human, Mouse, Rat, Zebrafish and Bovine samples. Our TIE2 (TEK) polyclonal, monoclonal and recombinant monoclonal antibodies are developed in Rabbit, Mouse, Rat, Chicken, Goat and Alpaca. These antibodies have been verified by Relative expression and Cell treatment to confirm specificity to TIE2 (TEK). Find the TIE2 (TEK) antibody that fits your needs. Choose from 1 of 57 TIE2 (TEK) antibodies, which have been validated in experiments with 215 publications and 187 images featured in our data gallery.

          Browse primary antibodies...
          Antibodies that detect TIE2 (TEK) can be used in several scientific applications, including Western Blot, Immunohistochemistry, ELISA, Flow Cytometry and Immunocytochemistry. These antibodies target TIE2 (TEK) in Human, Mouse, Rat, Zebrafish and Bovine samples. Our TIE2 (TEK) polyclonal, monoclonal and recombinant monoclonal antibodies are developed in Rabbit, Mouse, Rat, Chicken, Goat and Alpaca. These antibodies have been verified by Relative expression and Cell treatment to confirm specificity to TIE2 (TEK). Find the TIE2 (TEK) antibody that fits your needs. Choose from 1 of 57 TIE2 (TEK) antibodies, which have been validated in experiments with 215 publications and 187 images featured in our data gallery.

          Browse primary antibodies for WB, Flow, IHC, ICC/IF, ELISA, IP, and other applications. Antibodies with Advanced Verification data have been validated for specificity to ensure that the antibody binds to the antigen stated. If you cannot find the antibody you’re looking for, contact us today to develop custom antibodies for specific targets, species and applications.

          Target Information

          The TEK receptor tyrosine kinase is expressed almost exclusively in endothelial cells. TEK signaling appears to be critical for endothelial cell-smooth muscle cell communication in venous morphogenesis, and defects in TEK are associated with inherited venous malformations. The ligand angiopoietin-1 binds to this receptor and mediates a signaling pathway that functions in embryonic vascular development. Immunoblotting showed that TIE2 expression was increased by thyroid-stimulating hormone and agents that increased intracellular cAMP. HSCs expressing the receptor tyrosine kinase TIE2 are quiescent and antiapoptotic and comprise a side population of HSCs that adhere to osteoblasts in the bone marrow niche.

          Synonyms

          AA517024; Angiopoietin-1 receptor; CD202B; CD202b antigen; EC 2.7.10; EC 2.7.10.1; Endothelial tyrosine kinase; endothelial-specific receptor tyrosine kinase; endothelium-specific receptor tyrosine kinase 2; endothelium-specific receptor tyrosine kinase Tie-2; hTIE2; Hyk; mTIE2; p140 TEK; protein-tyrosine kinase Tie2; STK1; Tek; TEK receptor tyrosine kinase; TEK tyrosine kinase, endothelial; TEKT1; Tektin-1; Tie2; tie-2; tunica interna endothelial cell kinase; Tyrosine kinase with Ig and EGF homology domains-2; tyrosine kinases that contain immunoglobulin-like loops and epidermal growth factor-similar domains 2; tyrosine-protein kinase receptor TEK; Tyrosine-protein kinase receptor Tie-2; VMCM; VMCM1

          View more
          View less
          • Search by
          • Products
          • Images
          • Epitopes
          • Panel Builder Link Try our free panel design service
          • Wyoming Western Blot Tool Link Match your protein to the right gel
          • Wyoming Stain-iT Tool Link Try the Stain-iT cell staining simulator
          • Wyoming ELISA Tool Link Customize assays with the ELISA Builder
          Filters

          Disclaimer

          Close

          Clicking the images or links will redirect you to a website hosted by BenchSci that provides third-party scientific content. Neither the content nor the BenchSci technology and processes for selection have been evaluated by us; we are providing them as-is and without warranty of any kind, including for use or application of the Thermo Fisher Scientific products presented.

          Filters
          Filters
          Show Less
          +-2
          Clear All
          More
          Less
          53 results
          Target
          Details
          Application
          Price
          Compare
          53 results
          Invitrogen
          CD202b (TIE2) Monoclonal Antibody (TEK4), eBioscience™
          Invitrogen
          CD202b (TIE2) Monoclonal Antibody (TEK4), eBioscience™
          25
          Target
          Mouse
          Details
          Rat Monoclonal
          Application
          IHC IHC (F) ICC/IF Flow
          Price
          Special offer
          Online exclusive
          Online offer:
          Cat # 14-5987-82
          Invitrogen
          CD202b (TIE2) Monoclonal Antibody (TEK4), APC, eBioscience™
          Invitrogen
          CD202b (TIE2) Monoclonal Antibody (TEK4), APC, eBioscience™
          9
          Target
          Mouse
          Details
          Rat Monoclonal
          Application
          Flow
          Price
          Special offer
          Online exclusive
          Online offer:
          Cat # 17-5987-82

          100 µg

          Invitrogen
          CD202b (TIE2) Monoclonal Antibody (33.1), eBioscience™
          Invitrogen
          CD202b (TIE2) Monoclonal Antibody (33.1), eBioscience™
          Advanced Verification
          2
          Target
          Human Mouse Pig Rabbit Rat
          Details
          Mouse Monoclonal
          Application
          WB IHC (P)
          Price
          Special offer
          Online exclusive
          Online offer:
          Cat # 14-2029-82

          100 µg

          Invitrogen
          CD202b (TIE2) Monoclonal Antibody (TEK4), Biotin, eBioscience™
          Invitrogen
          CD202b (TIE2) Monoclonal Antibody (TEK4), Biotin, eBioscience™
          26
          Target
          Mouse
          Details
          Rat Monoclonal
          Application
          IHC IHC (P) IHC (F) ICC/IF Flow
          Price
          Special offer
          Online exclusive
          Online offer:
          Cat # 13-5987-82

          100 µg

          Invitrogen
          CD202b (TIE2) Monoclonal Antibody (TEK4), PE, eBioscience™
          Invitrogen
          CD202b (TIE2) Monoclonal Antibody (TEK4), PE, eBioscience™
          22
          Target
          Mouse
          Details
          Rat Monoclonal
          Application
          IHC IHC (F) Flow
          Price
          Special offer
          Online exclusive
          Online offer:
          Cat # 12-5987-82
          Invitrogen
          CD202b (TIE2) Monoclonal Antibody (TEK4), Functional Grade, eBioscience™
          Invitrogen
          CD202b (TIE2) Monoclonal Antibody (TEK4), Functional Grade, eBioscience™
          31
          Target
          Mouse
          Details
          Rat Monoclonal
          Application
          IHC IHC (F) ICC/IF Flow Functional Ctrl
          Price
          Special offer
          Online exclusive
          Online offer:
          Cat # 16-5987-82

          100 µg

          Invitrogen
          TEK Polyclonal Antibody
          Invitrogen
          TEK Polyclonal Antibody
          Advanced Verification
          6
          Target
          Human Mouse
          Details
          Rabbit Polyclonal
          Application
          WB IHC (P)
          Price
          Special offer
          Online exclusive
          Online offer:
          Cat # PA5-23082

          100 µL

          Invitrogen
          TIE2 (TEK) Polyclonal Antibody
          Invitrogen
          TIE2 (TEK) Polyclonal Antibody
          Advanced Verification
          4
          Target
          Human Mouse
          Details
          Rabbit Polyclonal
          Application
          WB
          Price
          Special offer
          Online exclusive
          Online offer:
          Cat # PA5-80103

          100 µg

          Invitrogen
          TEK Polyclonal Antibody
          Invitrogen
          TEK Polyclonal Antibody
          2
          Target
          Human
          Details
          Rabbit Polyclonal
          Application
          WB IHC PLA
          Price
          Special offer
          Online exclusive
          Online offer:
          Cat # PA5-28582

          100 µL

          Invitrogen
          TEK Recombinant Rabbit Monoclonal Antibody (116)
          Invitrogen
          TEK Recombinant Rabbit Monoclonal Antibody (116)
          2
          Target
          Human
          Details
          Rabbit Recombinant Monoclonal
          Application
          ICC/IF Flow ELISA
          Price
          Special offer
          Online exclusive
          Online offer:
          Cat # MA5-29596

          100 µL

          Invitrogen
          TEK Recombinant Rabbit Monoclonal Antibody (116), APC
          Invitrogen
          TEK Recombinant Rabbit Monoclonal Antibody (116), APC
          1
          Target
          Human
          Details
          Rabbit Recombinant Monoclonal
          Application
          Flow
          Price
          Special offer
          Online exclusive
          Online offer:
          Cat # MA5-46686

          100 Tests

          Invitrogen
          TEK Recombinant Rabbit Monoclonal Antibody (116), FITC
          Invitrogen
          TEK Recombinant Rabbit Monoclonal Antibody (116), FITC
          1
          Target
          Human
          Details
          Rabbit Recombinant Monoclonal
          Application
          Flow
          Price
          Special offer
          Online exclusive
          Online offer:
          Cat # MA5-46687

          100 Tests

          Invitrogen
          TEK Recombinant Rabbit Monoclonal Antibody (116), PE
          Invitrogen
          TEK Recombinant Rabbit Monoclonal Antibody (116), PE
          1
          Target
          Human
          Details
          Rabbit Recombinant Monoclonal
          Application
          Flow
          Price
          Special offer
          Online exclusive
          Online offer:
          Cat # MA5-46688

          100 Tests

          Invitrogen
          TIE2 (TEK) (Biosimilar) Recombinant Human Monoclonal Antibody
          Invitrogen
          TIE2 (TEK) (Biosimilar) Recombinant Human Monoclonal Antibody
          1
          Target
          Human
          Details
          Human Recombinant Monoclonal
          Application
          Flow ELISA Functional SPR
          Price
          Special offer
          Online exclusive
          Online offer:
          Cat # MA5-58933
          Invitrogen
          CD202b (TIE2) Polyclonal Antibody
          Invitrogen
          CD202b (TIE2) Polyclonal Antibody
          3
          Target
          Human Mouse
          Details
          Rabbit Polyclonal
          Application
          WB ICC/IF
          Price
          Special offer
          Online exclusive
          Online offer:
          Cat # PA5-116042

          100 µL

          Invitrogen
          TEK Polyclonal Antibody
          Invitrogen
          TEK Polyclonal Antibody
          3
          Target
          Human
          Details
          Rabbit Polyclonal
          Application
          WB IHC (P)
          Price
          Special offer
          Online exclusive
          Online offer:
          Cat # PA5-14742

          400 µL

          Invitrogen
          CD202b (TIE2) Polyclonal Antibody
          Invitrogen
          CD202b (TIE2) Polyclonal Antibody
          2
          Target
          Human Mouse Rat
          Details
          Rabbit Polyclonal
          Application
          WB IHC (PFA) ICC/IF
          Price
          Special offer
          Online exclusive
          Online offer:
          Cat # PA5-116043

          100 µL

          Invitrogen
          TEK Polyclonal Antibody
          Invitrogen
          TEK Polyclonal Antibody
          1
          Target
          Zebrafish
          Details
          Rabbit Polyclonal
          Application
          WB
          Price
          Special offer
          Online exclusive
          Online offer:
          Cat # PA5-116428

          200 µL

          Invitrogen
          TIE2 Polyclonal Antibody
          Invitrogen
          TIE2 Polyclonal Antibody
          1
          Target
          Zebrafish
          Details
          Goat Polyclonal
          Application
          WB IHC Neu
          Price
          Special offer
          Online exclusive
          Online offer:
          Cat # PA5-47963

          100 µg

          Invitrogen
          Phospho-TEK (Tyr1108) Polyclonal Antibody
          Invitrogen
          Phospho-TEK (Tyr1108) Polyclonal Antibody
          1
          Target
          Human Mouse
          Details
          Rabbit Polyclonal
          Application
          WB IHC (F) ICC/IF
          Price
          Special offer
          Online exclusive
          Online offer:
          Cat # PA5-38339

          100 µg

          NeoBiotechnologies
          CD202b/TIE2/TEK (Tyrosine Kinase with Ig and EGF Homology Domains 2) Monoclonal Antibody (TEK/9411)
          NeoBiotechnologies
          CD202b/TIE2/TEK (Tyrosine Kinase with Ig and EGF Homology Domains 2) Monoclonal Antibody (TEK/9411)
          3
          Target
          Human
          Details
          Mouse Monoclonal
          Application
          IHC (P)
          Price
          Special offer
          Online exclusive
          Online offer:
          Cat # 7010-MSM10-P1
          NeoBiotechnologies
          CD202b/TIE2/TEK (Tyrosine Kinase with Ig and EGF Homology Domains 2) Monoclonal Antibody (TEK/9411)
          NeoBiotechnologies
          CD202b/TIE2/TEK (Tyrosine Kinase with Ig and EGF Homology Domains 2) Monoclonal Antibody (TEK/9411)
          3
          Target
          Human
          Details
          Mouse Monoclonal
          Application
          IHC (P)
          Price
          Special offer
          Online exclusive
          Online offer:
          Cat # 7010-MSM10-P1ABX

          100 µg

          NeoBiotechnologies
          CD202b/TIE2/TEK (Tyrosine Kinase with Ig and EGF Homology Domains 2) Monoclonal Antibody (TEK/9412)
          NeoBiotechnologies
          CD202b/TIE2/TEK (Tyrosine Kinase with Ig and EGF Homology Domains 2) Monoclonal Antibody (TEK/9412)
          2
          Target
          Human
          Details
          Mouse Monoclonal
          Application
          IHC (P)
          Price
          Special offer
          Online exclusive
          Online offer:
          Cat # 7010-MSM11-P1
          NeoBiotechnologies
          CD202b/TIE2/TEK (Tyrosine Kinase with Ig and EGF Homology Domains 2) Monoclonal Antibody (TEK/9412)
          NeoBiotechnologies
          CD202b/TIE2/TEK (Tyrosine Kinase with Ig and EGF Homology Domains 2) Monoclonal Antibody (TEK/9412)
          2
          Target
          Human
          Details
          Mouse Monoclonal
          Application
          IHC (P)
          Price
          Special offer
          Online exclusive
          Online offer:
          Cat # 7010-MSM11-P1ABX

          100 µg

          Abnova
          TEK Monoclonal Antibody (1A4)
          Abnova
          TEK Monoclonal Antibody (1A4)
          2
          Target
          Human
          Details
          Mouse Monoclonal
          Application
          WB ELISA
          Price
          Special offer
          Online exclusive
          Online offer:
          Cat # H00007010-M03

          100 µg

          Custom Antibody Service

          Searching for an antibody we don't offer? We make custom antibodies for specific targets, species and applications.

          More than 18,000 custom antibodies created so far.

          Talk to a specialist now
          guarantee_icon

          Performance Guarantee

          If an Invitrogen™ antibody doesn't perform as described on our website or datasheet,we'll replace the product at no cost to you, or provide you with a credit for a future purchase.*

          Learn more
          help_icon

          We're here to help

          Get expert recommendations for common problems or connect directly with an on staff expert for technical assistance related to applications, equipment and general product use.

          Contact tech support
          Ordering Plus Icon Minus Icon
          • Order Status
          • Order Help
          • Quick Order
          • Supply Center
          • eProcurement
          Support Plus Icon Minus Icon
          • Help and Support
          • Contact Us - 400 820 8982
          • Technical Support Centers
          • Documents and Certificates
          • Report a Site Issue
          Resources Plus Icon Minus Icon
          • Learning Centers
          • Promotions
          • Events and Webinars
          • Social Media
          About Thermo Fisher Plus Icon Minus Icon
          • About Us About Us
          • Careers Careers
          • Investors Investors
          • News News
          • Social Responsibility Social Responsibility
          • Trademarks
          • Policies and Notices
          Our Portfolio Plus Icon Minus Icon
          • Thermo Scientific
          • Applied Biosystems
          • Invitrogen
          • Gibco
          • Ion Torrent
          • Unity Lab Services
          • Patheon
          • PPD
          • Terms & Conditions
          • Privacy Policy
          • Price & Freight Policy
          © 2006-2026 Thermo Fisher Scientific Inc. All rights reserved. All trademarks are the property of Thermo Fisher Scientific and its subsidiaries unless otherwise specified.
          China flag icon
          China
          本网站销售的所有产品均不得用于人类或动物之临床诊断或治疗,仅可用于工业或者科研等非医疗目的。
             电子营业执照 | 经营证照公示 | ICP备案号:沪ICP备11003924号 | 沪公网安备 31011502006935号

          Your items have has been added!


          Host server : magellan-search-blue-64dd947b88-fbg7s:80/100.66.79.246:80.
          git-commit: 0f46c0ba67a87c24f5ac662a3edafcaba07cd08c
          git-url: https://github.com/thermofisher/magellan-search
          git-branch: release/2.45.0-Offline