Search
Search
By combining strong in-house knowledge of chemistry, immunology, and signal transduction with dedicated R&D and production, Life Technologies is your first choice for cell biology research. We offer more than 300 Novex phosphorylation site–specific antibodies (phosphospecific antibodies) and is actively expanding this product line to enable analysis of key targets in normal and disease states, including cardiovascular disease, cancer, inflammation, neurodegenerative diseases, and diabetes. These new tools are providing critical insight into the investigation of complex signal transduction events, including unraveling the intricacies of drug intervention in disease.
By combining strong in-house knowledge of chemistry, immunology, and signal transduction with dedicated R&D and production, Life Technologies is your first choice for cell biology research. We offer more than 300 Novex phosphorylation site–specific antibodies (phosphospecific antibodies) and is actively expanding this product line to enable analysis of key targets in normal and disease states, including cardiovascular disease, cancer, inflammation, neurodegenerative diseases, and diabetes. These new tools are providing critical insight into the investigation of complex signal transduction events, including unraveling the intricacies of drug intervention in disease.
使用在线检索工具查找目标抗体。然后通过靶标或宿主种类、单克隆或多克隆抗体类型、特定磷酸化状态和其他条件进行筛选。
Invitrogen phosphospecific antibodies are designed to dependably detect phosphospecific targets in various applications.
Immunofluorescent analysis of of Phospho-FAK (Tyr397). Visualizing focal adhesion kinase with Phospho-FAK (Tyr397) Polyclonal Antibody (Cat. No. 44-624G). HeLa cells were fixed and permeabilized using ice-cold 95% methanol. FAK (pY397) PSSA was labeled with Alexa Fluor 488 dye (green fluorescence, Zenon Rabbit IgG Labeling Kit, Cat. No. Z-25302), and nuclei were counterstained with DAPI (blue fluorescence, Cat. No. D21490). The image was captured using a Zeiss Axioplan 2 fluorescence microscope fitted with a 100× oil immersion lens.
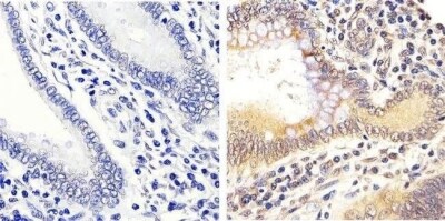
Immunohistochemistry analysis of ERK1/2 (pTpY185/187) showing staining in the cytoplasm and nucleus of paraffin-embedded human colon carcinoma tissue (right) compared to a negative control without primary antibody (left). To expose target proteins, antigen retrieval was performed using 10mM sodium citrate (pH 6.0), microwaved for 8-15 minutes. Following antigen retrieval, tissues were blocked in 3% H2O2-methanol for 15 minutes at room temperature, washed with ddH2O and PBS, and then probed with a Phospho-ERK1/2 (Thr185, Tyr187) Polyclonal Antibody (Cat. No. 44-680G) diluted in 3% BSA-PBS at a dilution of 1:20 overnight at 4°C in a humidified chamber. Tissues were washed extensively in PBST and detection was performed using an HRP-conjugated secondary antibody followed by colorimetric detection using a DAB kit. Tissues were counterstained with hematoxylin and dehydrated with ethanol and xylene to prep for mounting.
ChIP-qPCR analysis of STAT1 (pTyr701) was performed with 5 µg of the Phospho-STAT1 (Tyr701) Monoclonal Antibody (ST1P-11A5) (Cat. No. 33-3400) on sheared chromatin from 2 million HeLa cells treated with 50 ng/mL of IFN Gamma for one hour using the MAGnify Chromatin Immunoprecipitation System (Cat. No. 49-2024). Normal Mouse IgG was used as a negative IP control. The purified DNA from each ChIP sample was analyzed by StepOnePlus Real-Time PCR System (Cat. No. 4376600) with primers for the promoter of active GLS1 gene, used as positive control target, and the inactive SAT2, used as negative control target. Data is presented as fold enrichment of the antibody signal versus the negative control IgG using the comparative CT method.


