Search
Search
Exosomes are membrane-secreted vesicles that carry complex nucleic acids, proteins, lipids, and metabolites. Exosomes play key roles in cell-to-cell communication and signal transduction. Because they transport and exchange a variety of cargo between cells, exosomes are used as non-invasive biomarkers for several diseases.
Exosomes are a subset of small (30–150 nm) extracellular vesicles containing DNA, RNA, proteins, lipids, and metabolites. Exosomes are constantly secreted by cells in vitro and in vivo. The precise molecular mechanics for their secretion and uptake as well as the composition of their cargo, and resulting functions, are still being discovered. Exosomes have become the focus of growing interest both to study their functions and to understand ways to potentially use them as treatments for diseases.
Exosomes’ primary function is to mediate near and long-distance intracellular communication, by transporting their cargo of nucleic acids, proteins, lipids, amino acids, and metabolites, reflecting their cell of origin. Exosomes are being investigated for the key roles they play in the following processes:
Dynabeads products are available for a multitude of molecular and cellular applications. Don’t know where to start? Use our easy selection guide that considers sample type, target molecule, and downstream application to provide tailored recommendations for Dynabeads products.
Exosome isolation using ultracentrifugation is considered a traditional method of isolation that can be both time-consuming and can damage the exosomes, changing their morphology and functional properties. Exosomes can be separated from cells and heavy artifacts by tying up water molecules via polymer precipitation, thereby reducing the solubility of exosomes and bringing about their precipitation. Exosomes are then harvested following low-speed centrifugation. Total Exosome Isolation reagents and kits utilize this method and help speed up the process of exosome isolation beginning with sample collection—from cell culture media, serum, plasma, urine, or other body fluids—and ending with purified exosomes ready for downstream molecular analyses (Figure 1). The Total Exosome Isolation kits and reagents, and accompanying protocols, are ideal for a wide range of experiments, including processing low sample volumes and handling multiple samples.
Figure 1. Isolation of exosomes using precipitation and low-speed centrifugation.
Dynabeads magnetic beads and DynaGreen magnetic beads are essential tools for isolating and detecting exosomes in various research applications. Magnetic beads offer a simple isolation process from different starting materials such as cell culture media or liquid biopsy samples. Additionally, the KingFisher Sample Purification Systems can automate the process for high throughput or screening.
The following products include magnetic beads pre-conjugated with antibodies for isolation of specific exosome sub-populations: Exosome-Human CD63 Isolation/Detection Reagent, Exosome-Human CD81 Isolation Reagent, Exosome-Human CD9 Isolation Reagent, and Exosome-Human EpCAM Isolation Reagent. These beads isolate exosomes from cell culture media during an overnight incubation.
To enhance flexibility, biotinylated antibodies can be combined with the Exosome-Streptavidin Isolation/Detection Reagent to isolate specific sub-populations using various exosome-specific markers. Alternatively, IgG antibodies from any species can be combined with our sustainable DynaGreen CaptureSelect Anti-IgG-Fc (Multi-Species) Magnetic Beads to capture the exosome of choice. This isolation process is fast, automatable, and efficient, and takes only 40 minutes using liquid biopsy samples such as plasma and urine. Once the exosomes are isolated, they can be further analyzed with western blot, mass spectrometry, qPCR, or electron microscopy (Figure 2).
Figure 2. Exosome enrichment and detection.
Exosome isolation from liquid biopsy samples refers to the process of separating exosomes from various body fluids, such as serum (Figure 3), plasma, and urine. The isolation process involves separating exosomes from other components in the liquid biopsy sample, such as cells, proteins, and debris, to obtain a pure exosome population. Dynabeads Intact Virus Enrichment isolates exosomes from liquid biopsy samples in less than 15 minutes and enables automation for a high-throughput enrichment. The enrichment is charge-based, thus the negatively charged exosomes in the sample bind to the positively charged Dynabeads magnetic beads. Changing the buffer conditions allows for an easy and quick release step.
The product can isolate both negatively charged viruses and exosomes.
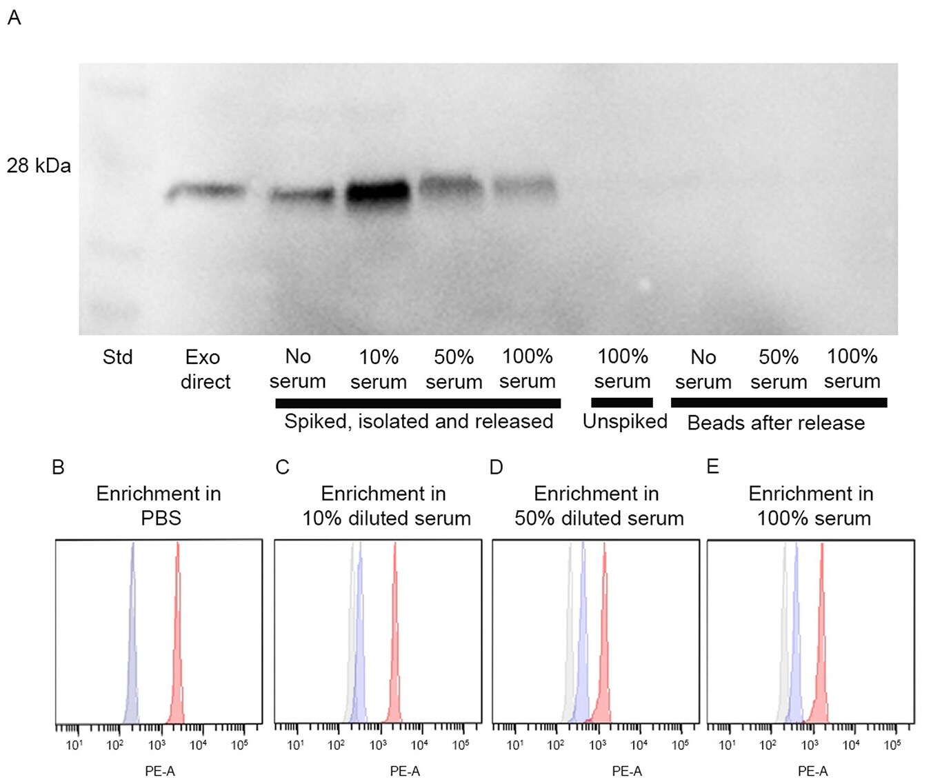
Figure 3. Reversible exosome enrichment from serum. SW480 exosomes were spiked into serum followed by isolation with the Dynabeads Intact Virus Enrichment beads. The exosomes were released from the magnetic beads with 0.25M KI. The serum used was undiluted or diluted to 10% and 50% in PBS. Released exosomes were analyzed by Western blot detecting CD81 (A) or by re-capture by Exosome-Human CD81 Flow Detection Reagent for downstream flow cytometry (B-G). Exosomes spiked into 10%, 50% and 100% serum were captured and released from the Dynabeads Intact Virus Enrichment beads and detected by Western blot (A) and flow cytometry (B-E). CD81 was not detected on the Dynabeads Intact Virus Enrichment beads after release, suggesting that most of the exosomes were eluted off the beads. Exosomes spiked into PBS or 10% serum demonstrated similar isolation and release efficiency (C and D) and in the same range as prior to isolation (B). Interestingly, less dilute serum samples (50% and 100%) resulted in slightly lower capture efficiency (E and F). Exosomes captured from un-spiked and undiluted serum samples were included, demonstrating that a small fraction of the captured exosomes are native exosomes present in the sample (G). Each sample is compared to the isotype control using an irrelevant staining antibody of the same isotype (gray histograms).
Detection and analysis of exosomes can be very challenging due to their small size (30–150 nm). However, there are a few methods used for exosome detection and analysis.
Exosomes have been shown to transport a range of molecules between different cell types. Their cargo includes various proteins, mRNA (fragments and full length), rRNA, tRNA, miRNA, and ncRNA.
By using exosome-depleted FBS, the inefficiencies that come with ultracentrifugation of serum are lessened. Gibco exosome-depleted FBS has the highest level of exosome depletion compared to homebrewed material and competitor FBS while retaining the vital nutrients necessary for cell culture. Features of this specialty FBS include:
KingFisher instruments automate the isolation of DNA, RNA, proteins, exosomes, viruses, and cells. KingFisher instruments help eliminate cross contamination and produce reproducible results. Protocol time will vary depending on the target and type of beads.
Learn more about KingFisher instruments for automated protocols
In this documentary mini-series, we asked ten prominent scientists to share their thoughts on exosome research.
For Research Use Only. Not for use in diagnostic procedures.

