Search
Search
Targeting immune checkpoint protein interactions is one form of cancer immunotherapy that offers a novel way to attack tumor cells. The discovery of those druggable protein targets relies on an in-depth understanding of cell signaling pathways. Markers present during immune cell activation are often engaged by cancer cells to alter activation pathways and to ultimately attenuate the immune response. To help unveil those interactions, Thermo Fisher Scientific offers researchers the necessary resources for checkpoint protein identification, discovery, and characterization.
One of the most promising areas of immuno-oncology research is to target those checkpoint points that are being exploited by cancer cells. In a normal, un-diseased state, inhibitory immune checkpoint proteins maintain self-tolerance and the duration of the immune response within the localized tissue. Tumors use this self-regulation as a method of immune resistance through ligand-receptor interactions. For example, immune checkpoint protein PD-1, now successfully targeted with antibody therapies, is a regulator of apoptosis and is critical for maintaining T cell expansion during the immune response.[1] Binding of PD-1 by a tumor cell that expresses the ligand (PD-L1), will attenuate the anti-tumor response and promote tumorigenesis. Many immune checkpoints are exploited by cancer cells in a similar way, making these protein-protein interactions attractive drug targets.
Similar to inhibitory pathways, co-stimulatory pathways are commandeered by tumor cells to promote tumorigenesis. Co-stimulatory pathways proteins, such as OX40, GITR, ICOS, 4-1BB (CD137), have roles in proliferation and activation of cytokines production.[1] Increasing the number of effector cells that express co-stimulatory molecules through cell therapy approaches, have shown to improve clinical outcomes. However, due to the mutative nature of cancer and complex factors in the tumor microenvironment (TME) that create variable immune responses, resistance remains an issue. Combinatorial approaches using both inhibitory and stimulatory therapeutics, or with cell therapy can make for a more potent effect by preventing immune evasion and thus resistance to treatment.[2] For these reasons, biomarker discovery and analysis continue to be a critical component of checkpoint inhibitor immuno-oncology research.
Characterizing the role of identified checkpoint proteins requires tools that elucidate protein processing and maturation, where they are localized, and the kinetics of their protein–protein interactions. These studies are critical for mapping trafficking and their ultimate destination where they may mediate interactions with other cells, including immune cells and cancerous cells. See Figure 1 and Table 1 for an overview of some of the identified immune checkpoint pathway proteins. Then navigate the tabs to see data of checkpoint molecules that are under investigation by the scientific community, generated using protein and cell analysis tools from Thermo Fisher Scientific.

Figure 1. Multiple co-stimulatory and co-inhibitory receptor–ligand interactions between antigen-presenting cells (APCs) and T cells. T cell receptors (TCRs) detect antigens on the surface of APCs in the form of antigen-complexed major histocompatibility complexes (MHCs), and this antigen-specific recognition is necessary but not sufficient for an effective T cell response. For T cell activation or suppression, T cells must recognize their cognate antigens through TCRs and then respond to co-stimulatory (for activation) or co-inhibitory (for suppression) receptor–ligand interactions, examples of which are shown in this schematic. One important family of membrane-bound molecules that binds both co-stimulatory and co-inhibitory receptors is the B7-CD28 family shown in purple boxes; all of the B7 family members and their known ligands belong to the immunoglobulin superfamily. Another major category of signals arises from tumor necrosis factor (TNF) family members (shown in green boxes), which regulate the activation of T cells in response to cytokines.
| Co-stimulatory target | Function | Co-inhibitory target | Function |
|---|---|---|---|
| CD28 | A B7 receptor expressed on naïve T cells. Required for T cell activation. Results in the production of interleukins, like IL-2 and IL-6. | PD1 | PD-1 expression on T cell indicates exhaustion and inability to perform immune responses. |
| ICOS (CD278) | Expressed on activated T cells. Mediates cell to cell signaling and proliferation in the immune response. | BTLA (CD272) | Binding to HVEM negatively regulates T cell immune response. Recruits SHP-1 and SHP-2 and inhibits signaling cascades. |
| OX40 (CD134) | Activating OX40 stimulates T cell differentiation and cytolytic function leading to enhanced anti-tumor immunity. | VISTA (B7-H5) | Expressed highly on regulatory T cells and myeloid-derived suppressor cells. Blockade results in anti-cancer activity in some models. |
| 4-1BB (CD137) | CD137 stimulates NK cells and T cells for anti-tumor response along with immune memory. | TIGIT | Present on T cells and natural killer cells. Blockade of TIGIT has led to increased cell activation and proliferation. |
| CD27 | Tumor cells use CD73 to suppress T cell activity with the production of adenosine. | CTLA-4 (CD152) | Tumor cells use the CTLA-4 pathway to decrease T cell activation and ability to proliferate into memory T cells. |
| CD40L (CD154) | Expressed on activated T cells and T follicular helper cells. Promotes B cell maturation and has a role in humoral and cellular immunity. | LAG3 | LAG expression leads to T cell exhaustion and inhibits long-term immune response development. |
| GITR (CD357) | GITR activation enhances cell reproduction and generates antitumor activity. | TIM3 | Expression on IFN-gamma secreting T cells indicates T cell exhaustion. |
| CD30 | A positive regulator of apoptosis expressed on activated T cells. Protects against autoimmunity. | ||
| DR3 | Mediates differentiation and apoptosis. Reduces inflammation by stimulating Tregs when engaged. | ||
| DNAM (CD226) | Mediates cellular adhesion to target cells, and has a role in T cell activation. | ||
| CD96 | Expressed on T cells and NK cells late in activation and promotes cell adhesion to target cells. | ||
| LIGHT (CD258) | As opposed to BTLA, binding to HVEM induces a positive T cell immune response. |
Cytotoxic T-lymphocyte antigen 4 (CTLA-4/CD152) is a type-I transmembrane glycoprotein and a member of the immunoglobin superfamily and is expressed by both CD4+ and CD8+ T cells. Homologous to CD28, CTLA4 interacts with the B7 molecules CD80/CD86. Signaling cascades through CTLA-4 result in a variety of downstream interactions that are inhibitory in nature. For instance, CTLA-4 inhibits IL-2 mRNA production, cell cycle progression, and T-cell activation. CTLA4 can also exert its inhibitory activity through the ITAMs (immunoreceptor tyrosine-based activation motifs) present on TCR complexes.[3-5]
The first demonstration of pre-clinical efficacy of an anti-CTLA-4 antibody targeted to blocking the inhibitory effects of CTLA-4 was in a mouse tumor model.[6] An enhanced T-cell response was a promising observation that has since led to the successful use of anti-CTLA-4 antibodies in the treatment of cancers especially melanoma, small cell lung, and renal carcinomas. Thermo Fisher Scientific has a number of tools available for CTLA-4 research, including those that detect both membrane-bound (mCTLA4) and a soluble (sCTLA4) forms. Using the human CTLA-4 (Soluble) ELISA Kit, Leung et. al. were able to measure elevated sCTLA-4 levels in serum and demonstrate the patient benefit from treatment with ipilimumab, a monoclonal antibody against CTLA4 (see figure below).[7] With the Human and Mouse Immuno-Oncology Checkpoint ProcartaPlex panels, CTLA-4 and other soluble forms of receptors and ligands, can be monitored in the same serum or plasma sample.
Access our cell signaling pathway resources, to learn more about the CTLA-4 signaling pathway.
A wide selection of anti-CTLA-4 antibodies are now available for a range of applications, including in vivo functional assays. By combining oncolytic viruses and checkpoint modulation using a functional grade anti-CTLA-4 antibody, Engeland et. al. demonstrated that they were able to reduce tumor burden in an immunocompetent murine model of malignant melanoma, B16-CD20.[5-8] Detect CTLA-4 in fresh or archived FFPE samples using our validated mouse or rat anti-CTLA-4 or human anti-CTLA-4 antibodies, or in cultured cells by immunocytochemistry or immunofluorescence (Figure 3).
| Description | Application tested or published; target | Cat. No. |
|---|---|---|
| CTLA-4 Polyclonal Antibody | IHC(P), WB; Human | PA5-23967 |
| CTLA-4 (CD152) Polyclonal Antibody | ELISA, IHC(P), WB; Mouse, Rat | PA5-79090 |
| CTLA-4 (CD152) Monoclonal Antibody (9H10), Functional Grade | Flow, FN, ELISA, Neu, IA; Mouse | 16-1521-95 |
| CTLA-4 (Soluble) Human ELISA Kit | ELISA; Human | BMS276TEN |
| CTLA-4 Recombinant Rabbit Monoclonal Antibody (11H7L17) | ICC, IF; Human | 702534 |
| CTLA-4 Mouse ProcartaPlex Simplex Kit | LX; Mouse | EPX010-26060-901 |
| CTLA-4 Human ProcartaPlex Simplex Kit | LX; Human | EPX01A-10276-901 |
Abbreviations: IHC(P) – Immunohistochemistry (Paraffin); WB – western blotting; Flow – Flow Cytometry; FN – Functional Assay; ELISA – Enzyme Linked Immunosorbent Assay; IA – Inhibition Assay, Neu- Neutralization; ICC – Immunocytochemistry; IF – immunofluorescence; LX: Luminex immunoassay.
Programmed cell death-1 (PD-1 or CD279) is a type-I transmembrane protein and a member of the immunoglobulin superfamily that includes CD28 and CTLA-4.[8] As mentioned, PD-1 is critical for maintaining T cell expansion of activated T cells. In doing so, PD-1 interacts with two different but related ligands, PDL-1 (CD274) and PDL-2 (CD273). Like PD-1, PD-L1 is also a type I transmembrane protein and can be expressed by tumor cells and tumor stroma. [9,10] Cancerous cells expressing PD-L1 that bind PD-1 prevent its function and block the activation and expansion of T cell populations, leaving the tumor cell intact and growing. Detection of and monitoring of PD-1 and PD-L1/PD-L2 is critical for understanding the molecular etiology of some cancers, particularly those whose ligands of PD-1 are upregulated.[8-11]
Thermo Fisher Scientific has antibodies against PD-1 and PD-L1 conjugated to a variety of fluorophores for flow cytometry, as well as antibodies for a range of other applications including immunohistochemistry, immunocytochemistry and functional assays. For example, T cells (FoxA1+Treg cells) that have been shown to play a pivotal role in regulation of CNS inflammation were treated with functional grade PD-1 and PD-L1 antibodies, to block neuronal PD-L1 signaling in neurons and PD-1 on Tenc cells. This was used to demonstrate that defective PD-L1 could result in blockade of induction of FoxA1+Tregs.[11]
Figure 4. Detection of PD-1/PD-L1. (A) Immunohistochemical staining of human brain tissue was performed using an anti-PD1 (CD279) polyclonal antibody (25 μg/mL). (B, C) Flow cytometry analysis of unstimulated or PHA-stimulated normal human peripheral blood cells stained with PD-1 or PD-L1 antibody. Viable cells in the lymphocyte gate were detected using a fixable viability dye (#65-0867-18). PD-1 or PD-L1 antibodies include: (B) APC mouse IgG1 kappa isotype control (blue histogram) or APC anti–human CD279 (PD-1) antibody (purple histogram). (C) APC mouse IgG1 kappa isotype control (blue histogram) or APC anti–human CD274 (PD-L1, B7-H1) antibody (purple histogram).
| Description | Application tested or published; target | Cat. No. |
|---|---|---|
| PD-1 Polyclonal Antibody | IHC(P) | PA5-32543 |
| CD274 (PD-L1, B7-H1) Monoclonal Antibody (MIH1), APC, eBioscience | Flow; Human | 17-5983-42 |
| CD279 (PD-1) Monoclonal Antibody (J43), Functional Grade, eBioscience | Flow; FN; Mouse | 16-9985-82 |
| CD274 (PD-L1, B7-H1) Monoclonal Antibody (MIH5), Functional Grade, eBioscience | FN; Mouse | 16-5982-82 |
| PD-1 Mouse ProcartaPlex Simplex Kit | LX; Mouse | EPX010-26507-901 |
| PD-1 Human ProcartaPlex Simplex Kit | LX; Human | EPX01A-12214-901 |
| PD-L1 Mouse ProcartaPlex Simplex Kit | LX; Mouse | EPX010-26504-901 |
| PD-L1 Human ProcartaPlex Simplex Kit | LX; Human | EPX01A-12212-901 |
| Immuno-oncology Checkpoint 7-Plex Mouse ProcartaPlexPanel 2 | LX; Mouse | EPX070-20835-901 |
Abbreviations: IHC(P): immunohistochemistry (paraffin); Flow: flow cytometry; FN: functional assay; LX: Luminex immunoassay.
Lymphocyte-activation protein 3 (LAG-3/CD223) belongs to the Ig superfamily and is expressed on activated T cells, natural killer cells, B cells, and plasmacytoid dendritic cells. LAG-3 binds to major histocompatibility complex-II (MHC-II) on antigen-presenting cells (APCs), but with a much stronger affinity than CD4, thus directly hindering TCR signaling.[12,13]
If tumor-infiltrating lymphocytes (TILs) experience a prolonged exposure to an antigen, as in the case of chronic infection or cancer, T cells can become exhausted and lose their ability to be activated and expand in the presence of the antigens, resulting in the failure to produce cytokines and kill target cells. This phenotype is associated with upregulation of LAG-3 and PD-1/PD-L1 in many cancers, and has made LAG-3 a valuable target for either monotherapy or in combination with PD-1/PD-L1 blockade therapy.[14,15]
Several studies have shown that soluble LAG-3 is found in the serum. Researchers can easily measure serum concentrations of LAG-3 using Thermo Fisher Scientific LAG-3 ELISA kit, or monitor multiple immune checkpoint inhibitors in the same sample using the Invitrogen ProcartaPlex Immuno-Oncology checkpoint panels 1 & 2. In a more specific example, Van Deusen et. al. utilized a functional grade CD223 (LAG-3) antibody to demonstrate the use of LAG-3 as a possible target for immunotherapy.[17]
| Description | Application tested or published; target | Cat. No. |
|---|---|---|
| LAG-3 Human ELISA Kit | ELISA; Human | BMS2211 |
| CD223 (LAG-3) Monoclonal Antibody (C9B7W), Functional Grade, eBioscience | FN, Neu, IP, Flow; Mouse | 16-2231-85 |
| LAG-3 Mouse ProcartaPlex Simplex Kit | LX; Mouse | EPX010-26051-901 |
| LAG-3 Human ProcartaPlex Simplex Kit | LX; Human | EPX01A-12211-901 |
| Immuno-Oncology Checkpoint 4-Plex Mouse ProcartaPlex Panel 1 | LX; Mouse | EPX040-20830-901 |
| Immuno-Oncology Checkpoint 14-Plex Human ProcartaPlex Panel 1 | LX; Human | EPX14A-15803-901 |
Abbreviations: ELISA: enzyme linked immunosorbent assay; FN: functional assay; Neu: neutralization; IP: immunoprecipitation; Flow: flow cytometry; LX: Luminex immunoassay.
B- and T-lymphocyte attenuator (BTLA) is a glycoprotein and a member of the immunoglobulin superfamily like PD-1 and CTLA-4. It is expressed on T cells, resting B cells, macrophages, DCs, and NK cells and downregulates the activity of lymphocytes upon binding to its ligand – the herpesvirus entry mediator (HVEM). HVEM is a member of the TNF receptor superfamily, and is currently the only know receptor–ligand interaction that directly bridges these two families of receptors.[18] Similar to CTLA-4 and PD-1, BTLA can recruit SHP protein tyrosine phosphatases to its cytoplasmic domain following HVEM ligation, an interaction which has been shown to block TCR signal transduction in PD-1 and CTLA-4 pathways.[18]
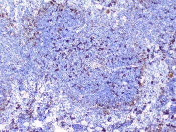
The development of BTLA as a therapeutic target requires a detailed understanding of its expression pattern in both normal tissues and tumors. Thermo Fisher Scientific offers a wide range of anti-BTLA antibodies for the detection of BTLA in tissue samples (both fresh frozen or paraffin-embedded) and in lysates. The figures below show the staining (DAB) of BTLA in paraffin-embedded mouse spleen tissues and the detection of BTLA in lysates by western blot analysis.
Find the specific BTLA antibody by application area and target species at thermofisher.com/antibodies
In addition to analysis of BTLA levels in tissue and lysate samples, the measurement of plasma and serum concentrations of soluble BTLA (sBTLA) can be monitored individually by ELISA or in combination with other checkpoint inhibitors using the Invitrogen Procarta Plex immunoassays.
| Description | Application tested or published; target | Cat. No. |
|---|---|---|
| BTLA Polyclonal Antibody | Flow, IHC(F), IHC(P), WB, ICC; Human/Mouse | PA5-95592 |
| BTLA Human ELISA Kit | ELISA; Human | BMS2217 |
| CD272 (BTLA) Monoclonal Antibody (6F7), Functional Grade, eBioscience | FN, Neu, IP, Flow; Mouse | 16-5950-82 |
| BTLA Mouse ProcartaPlexSimplex Kit | LX; Mouse | EPX010-26052-907 |
| BTLA Human ProcartaPlexSimplex Kit | LX; Human | EPX01A-12217-901 |
| Immuno-Oncology Checkpoint 4-Plex Mouse ProcartaPlex Panel 1 | LX; Mouse | EPX040-20830-901 |
| Immuno-Oncology Checkpoint 14-Plex Human ProcartaPlex Panel 1 | LX; Human | EPX14A-15803-901 |
| HVEM Human ProcartaPlex Simplex Kit | LX; Human | EPX01A-12218-901 |
Abbreviations: Flow: flow cytometry; FN: functional assay; ELISA: enzyme linked immunosorbent assay; Neu: neutralization; IP: immunoprecipitation; IHC(P): immunohistochemistry (paraffin); IHC(F): immunohistochemistry (frozen); WB: western blotting; ICC: immunocytochemistry; LX: Luminex immunoassay.
TIGIT (T‐cell receptor with immunoglobulin and ITIM domain) is a member of the PVR (poliovirus receptor) family of immunoglobin proteins expressed on several immune cell types including CD8+ T Cells, CD4+ T Cells and NKTs. [19] TIGIT along with CD226 and CD96(TACTILE) interacts with CD155 on antigen presenting cells (APCs), with the CD226 interaction causing activation while TIGIT and CD96 acts as inhibitory receptors.[20,21] TIGIT has a higher affinity for CD155 than CD226 and can thus exert an inhibitory signal by outcompeting CD226. Another reported inhibitory mechanism is that TIGIT can interfere with the cis-homodimerization of CD226.[19]
Chronic viral infections combined with high antigenic loads continually stimulate T cells leading to progressive loss of function state called “T cell exhaustion”. Chew et.al., showed that co-blockade of TIGIT and PD-L1 lead to a greater restoration of T cell function compared with a single blockade using eBioscienceTM PerCP-eFluor 710 labeled TIGIT Monoclonal Antibody to mark TIGIT positive cells.[22] The same monoclonal is now available conjugated to various fluorophores and un-conjugated for other functional studies.
In addition, the Invitrogen Immuno-Oncology Checkpoint 14-Plex Human ProcartaPlex Panel 2 now allows for the detection of soluble forms of CD155 (PVR), CD112 (nectin-2), CD73 (NT5E), co-inhibitors to TIGIT, in plasma and serum samples.
| Description | Application tested or published; target | Cat. No. |
|---|---|---|
| TIGIT Monoclonal Antibody (MBSA43), Functional Grade, eBioscience | Flow, FN, WB, IF; Human/Mouse | 16-9500-85 |
| TIGIT Monoclonal Antibody (MBSA43), PerCP-eFluor 710, eBioscience | Flow; Human | 46-9500-41 |
| Immuno-Oncology Checkpoint 14-Plex Human ProcartaPlex Panel 2 | LX; Human | EPX140-15815-901 |
Abbreviations: Flow: flow cytometry; FN: functional assay; WB: western blotting; IF: immunofluorescence LX: Luminex immunoassay.
T cell immunoglobulin and mucin-domain containing-3 (TIM-3, HAVCR2) is a type-I transmembrane protein and a member of the immunoglobin superfamily.[23] Carcinoembryonic antigen-related cell adhesion molecule 1 (CEACAM1, CD66a, biliary glycoprotein), high-mobility group protein B1 (HMGB1), and phosphatidylserine (PS) and Galectin-9 have all been identified as ligands of TIM-3.[24,25] TIM-3 is expressed on CD4+ T helper 1 (Th1) cells but not CD4+ T helper 2 (Th2) and its interaction with Gal-9 plays a key role in regulating Th1 cells and the expression of cytokines such as TNF and INF-γ.[26]
Although TIM-3 does not have a classical ITIM (immunoreceptor tyrosine-based inhibition) or an ITSM (immunoreceptor tyrosine-based switch) motif in its cytoplasmic tail like the other immunoglobulin super family immune checkpoint PD-1 and CTLA-4, it does contain five conserved tyrosine residues, whose phosphorylation has been shown to be critically important for coupling to downstream signaling pathways.[26]
The product table below highlights useful antibodies and immunoassays for researchers interested in TIM-3. For instance, functional grade monoclonal TIM3 antibodies from Thermo Fisher Scientific have been used in blocking experiments to analyze the role of TIM-3 signaling within various innate immune cells. Additionally, as several studies have shown that soluble Tiim-3 is found in the blood, researchers can easily measure serum or plasma concentrations of TIM-3 using the Invitrogen ProcartaPlex Immuno-Oncology checkpoint panel 1.
| Description | Application tested or published; target | Cat. No. |
|---|---|---|
| CD366 (TIM3) Monoclonal Antibody (8B.2C12), Functional Grade, eBioscience | Flow, FN, Neu, IF, IHC; Mouse/Human | 16-5871-85 |
| TIM-3 Mouse ProcartaPlex Simplex Kit | LX; Mouse | EPX010-36050-901 |
| TIM-3 Human ProcartaPlex Simplex Kit | LX; Human | EPX01A-12219-901 |
| Immuno-Oncology Checkpoint 4-Plex Mouse ProcartaPlex Panel 1 | LX; Mouse | EPX040-20830-901 |
| Immuno-Oncology Checkpoint 14-Plex Human ProcartaPlex Panel 1 | LX; Human | EPX14A-15803-901 |
Abbreviations: Flow: flow Cytometry; FN: functional assay; Neu: neutralization; IF: immunofluorescence; IHC: immunohistochemistry; LX: Luminex immunoassay.
VISTA (V-domain Ig suppressor of T cell activation, B7-H5, PD-1H, Gi24) is a type-I transmembrane protein consisting of a single N-terminal immunoglobulin (Ig) V domain and shares significant homology with PD-L1 and PD-L2.[27] It is expressed in variety of immune cells including macrophages, naïve CD4 T cell, Tregs, conventional dendritic cells, monocytes, circulating neutrophils but not B cells.[28,29] While novel binding partners for VISTA have yet to be identified, several studies have demonstrated that VISTA can function both as a ligand and as a receptor in the suppression of T-cell activation.[29] Although VISTA does not possess ITIM/ITAM motifs like other members of the B7 receptor family, it does possess a Src homology 2 (SH2) binding motif and three SH3 binding domains that have been shown to be important in signal transduction and inhibition of T cell activation.[29]
| Description | Application tested or published; target | Cat. No. |
|---|---|---|
| VISTA Polyclonal Antibody | IHC, WB; Human | PA5-52493 |
| VISTA Monoclonal Antibody (B7H5DS8), APC, eBioscienceTM | Flow; Mouse | 17-1088-42 |
| VISTA Polyclonal Antibody | ELISA, IHC (P); Human | PA5-81118 |
Abbreviations: IHC: immunohistochemistry; WB: western blot; Flow: flow cytometry; ELISA: enzyme linked immunosorbent assay; IHC(P): immunohistochemistry (paraffin).
CD27 (TNFRSF7) is type-I transmembrane glycoprotein that is expressed by T cells and a member of the TNF Receptor Superfamily, characterized by the presence of cysteine-rich domains (CRDs). CD27 is expressed on resting CD4+ and CD8+ T cells and is constitutively expressed on naïve T cells.[30] The only known ligand for CD27 is CD70 (TNFSF7). CD70 is a type-II transmembrane protein that contains the conserved tumor necrosis factor (TNF)–homology domain.[30] Similar to OX40-OX40L, the downstream signaling has been shown to be mediated by members of the TNF receptor associated factor (TRAF) family which can subsequently activate NF-κB pathway.[30] Immunotherapy strategies include using anti-CD27 to stimulate T cells and increase the antitumor activity of the immune system. In addition, anti-CD27 treatments along with other checkpoint-blocking mAbs are being explored to synergize and promote stronger T-cell immunity.[30]
Thermo Fisher Scientific provides both antibody and immunoassay solutions for checkpoint protein detection. Figure 11 highlights the use of a fluorescently conjugated monoclonal antibody for detection by flow cytometry, however Thermo Fisher Scientific provides many antibodies for detection by other means, such as western blotting, immunoprecipitation, or immunohistochemistry (see table below). In addition, Thermo Fisher Scientific provides ProcartaPlex panels for soluble protein detection that include CD27 as a target.
| Description | Application tested or published; target | Cat. No. |
|---|---|---|
| CD27 Monoclonal Antibody (LG.7F9), eBioscience | Flow, FN, IP, Neu; Human, Mouse, Rat | 14-0271-82 |
| CD27 Mouse ProcartaPlex Simplex Kit | LX; Mouse | EPX010-26053-901 |
| CD27 Human ProcartaPlex Simplex Kit | LX; Human | EPX02A-10286-901 |
| Immuno-Oncology Checkpoint 4-Plex Mouse ProcartaPlex Panel 1 | LX; Mouse | EPX040-20830-901 |
| Immuno-Oncology Checkpoint 14-Plex Human ProcartaPlex Panel 1 | LX; Human | EPX14A-15803-901 |
Abbreviations: Flow: flow cytometry; FN: functional assay; IP: immunoprecipitation; Neu: neutralization; LX: Luminex immunoassay.
OX40 (TNFRSF4, CD134) is type-I transmembrane glycoprotein that is expressed by T cells and a member of the TNF Receptor Superfamily, characterized by the presence of cysteine-rich domains (CRDs).[30] The only known ligand for OX40 is OX40L (TNFSF4). OX40L is a type-II transmembrane protein that contains the conserved tumor necrosis factor (TNF)–homology domain that enables trimerization.[30] Binding of trimerized OX40L to OX40 expressed on T cells enhances proliferation and the expression of effector cytokines and antitumor responses.[30] The downstream signaling has been shown to be mediated by members of the TNF receptor associated factor (TRAF) family which can subsequently activate NF-κB pathway.[30] Immunotherapy strategies include using anti-OX40 to stimulate the T cells and increase the antitumor activity of the immune system.
OX40 has been implicated in autoimmune disorders, such as systemic lupus erythematosus (SLE). Sitrin et al. showed a correlation between disease severity and the level of OX40 expression on CD4+ T cells in both the spleen and kidney of diseased mice.[31] Figure 12 shows Thermo Fisher Scientific antibodies used for detection of OX40 expression by flow cytometry and immunohistochemistry.
Figure 12. OX40 expression on splenic and kidney-infiltrating CD4 T cell subsets in NZB/W F1 mice. (A-D) Spleen cells (top row) and kidney cells (bottom row) from NZB/W F1 mice (21-51 wk old). (A) Representative flow cytometry plots stained for an isotype control (left panels) or OX40 (right panels) in gated live CD45+ CD19- CD3+ T cells. (B) Summary data from at least four independent experiments (mean ±SD) for the fraction of CD4 T cells expressing OX40 (left panels), as well as the fraction (middle panels) and total number (right panels) of OX40+ CD4 T cells in total lymphocytes. (C and D) Representative flow cytometry plots and summary data from at least four independent experiments (mean ±SD). (C) OX40- and OX40+ cells (gated on live CD19- CD3+ CD4+ T cells) intracellularly stained for Foxp3 and overlaid. (D) Gated live CD3+ CD4+ T cells for OX40- (left panels) and OX40+ (right panels) cells stained for CXCR5 and ICOS overlaid on top of isotype control (gray). (E-G) Representative fixed and CD3-stained kidney sections from NZB/W F1 mice from at least two independent experiments. Glomerular sections from proteinuria-free mice (E) and mice with proteinuria ≥300 mg/dl (isotype control stain, left panel) (F). (G) Periarterial and tubulointerstitial infiltrate from mice with ≥300 mg/dl proteinuria.
Scale bars, 100 mum. * p < 0.05, ** p < 0.01, *** p < 0.001. A, artery; G, glomerulus; TI, tubulointerstitium.
Data provided from BenchSci.
| Description | Application tested or published; target | Cat. No. |
|---|---|---|
| CD134 (OX40) Monoclonal Antibody (OX-86), eBioscience | Flow, FN, Neu, WB, IHC (F) | 14-1341-82 |
| CD252 (OX40 Ligand) Monoclonal Antibody (RM134L), Functional Grade eBioscience | Flow, FN | 16-1341-85 |
Abbreviations: Flow: flow cytometry; FN: functional assay; Neu: neutralization; IF: immunofluorescence; IHC(F): immunohistochemistry (frozen); WB: western blot.
GITR (glucocorticoid-induced TNFR-related protein, TNFRSF18, CD357, AITR) is a member of the TNFR superfamily that is expressed at high levels on Tregs and at lower levels on naïve and memory T cells.[32] The GITR ligand, GITRL (TNFSF18) is expressed by activated antigen presenting cells (APCs), including DCs, macrophage and activated B cells. Binding of GITR to its ligand delivers positive costimulatory signals to T cells that is mediated through the recruitment of TRAF family members and the activation of NFκB and MAPK pathways.[32] GITR modulation to abrogate the suppressor function of regulatory T cells (Treg cells) and enhancing the CD8/Treg ratio has been the recent focus for the development of therapeutic agents.[32] Furthermore, GITR combination treatment with other checkpoint inhibitors to increase the response rate and duration of response is being investigated.
| Description | Application tested or published; target | Cat. No. |
|---|---|---|
| CD357 (AITR/GITR) Monoclonal Antibody (DTA-1), Functional Grade, eBioscienceTM | Flow, FN, IHC (F); Mouse | 16-5874-81 |
| CD357 (AITR/GITR) Monoclonal Antibody (eBioAITR), eBioscienceTM | Flow, ELISA, WB, IHC (P); Human | 14-5875-80 |
| GITR Human ProcartaPlex Simplex Kit | LX; Human | EPX01A-12210-901 |
| Immuno-Oncology Checkpoint 14-Plex Human ProcartaPlex Panel 1 | LX; Human | EPX14A-15803-901 |
Abbreviations: Flow: flow cytometry; FN: functional assay; IHC (F): immunohistochemistry (fixed); ELISA: enzyme linked immunosorbent assay; WB: western blot; IHC (P): immunohistochemistry (paraffin); LX: Luminex immunoassay.
ICOS (Inducible T cell co-stimulator, CD278) is homo-dimeric protein and a member of the immunoglobulin (Ig) family of co-receptor molecules and has significant homology CD28 but plays a non-redundant role in modulating the activation of T cells. ICOS is expressed on activated CD4+ and CD8+ T cells and bind to ICOS ligand (ICOSL/ B7-related protein-1/B7RP-1) on professional antigen presenting cells (B cells, macrophages, and dendritic cells).[33] Similar to CD28 signaling, the binding of ICOS to ICOS ligand results in the production of phosphatidylinositol 3,4,5-trisphosphate (PIP3) resulting in the activation of Akt kinase pathways to promote cellular proliferation and survival.[33] ICOS co-stimulation has been shown to supports thymus dependent (TD)Ab responses, the induction and follicular homing of Tfh cells, the dampening of Th1 and Th2 inflammatory responses and homeostasis of regulatory T cells (Tregs).[33] Because of its distinct dual role in adaptive immune responses in sustaining T cell activation and effector functions, as well as its Treg suppressive activity, the disruption of ICOS:ICOSL signaling has been the focus of therapeutic interventions through the development of both antagonist and agonist antibodies.
| Description | Application tested or published; target | Cat. No. |
|---|---|---|
| CD278 (ICOS) Monoclonal Antibody (ISA-3), Functional Grade, eBioscienceTM | Flow, FN; Human | 16-9948-82 |
| CD278 (ICOS) Monoclonal Antibody (ISA-3), eBioscienceTM | Flow, FN, IHC (F), IP; Human | 14-9948-82 |
Abbreviations: Flow: flow cytometry; FN: functional assay; IHC(F): immunohistochemistry (frozen); IP: immunoprecipitation (IP).
4-1BB (CD137/TNFRS9) is a glycoprotein and a member of the TNF-receptor (TNFR) superfamily and like other members of this family, uses the TNF Receptor Associated Factors (TRAFs) for transducing signals into the cell.[34] It is expressed on activated T and natural killer (NK) cells and binds to its natural ligand 4-1BB ligand (4-1BBL). CD4+ and CD8+ T cells express 4-1BB at comparable levels but is more biased toward CD8+ T cells. Due to its ability to drive CTL and NK cell anti-tumor response, CD137 has become one of the most relevant molecular targets in cancer immunotherapy.[34] CD8+ T cells expressing 4-1BB-based chimeric antigen receptors have been successfully used in CART based immunotherapies. Since 4-1BB plays an important role in T-cell activation, persistence, and memory and increases NK-mediated antibody dependent cellular cytotoxicity, 4-1BB has become a crucial target for antibody-based immunotherapies.
| Description | Application tested or published; target | Cat. No. |
|---|---|---|
| CD137 Monoclonal Antibody (BBK-2), Biotin | Flow, IF; Human | MA5-13736 |
| CD137 (4-1BB) Polyclonal Antibody | ELISA, ICC, IF, WB; Human | PA5-98296 |
| 4-1BB Human ProcartaPlexSimplex Kit | LX; Human | EPX01A-10289-901 |
| Immuno-Oncology Checkpoint 4-Plex Mouse ProcartaPlex Panel 1 | LX; Mouse | EPX040-20830-901 |
Abbreviations: Flow: flow cytometry; IF: immunofluorescence; ELISA: enzyme linked immunosorbent assay; ICC: immunocytochemistry; WB: western blot; LX: Luminex immunoassay.
NKG2D (Natural-killer group 2, member D) is a type-II transmembrane protein with a C-type lectin-like extracellular domain. It is an activating receptor expressed on NK cells, CD8+ T cells, and γδ T cells whose know ligands include MHC class I chain-related proteins and UL16-binding proteins in humans and Rae-1 and H-60 family proteins in mice.[35,36] While it has been proposed that membrane-bound NKG2D ligands stimulate immunity, NKG2D ligand shedding through proteolytic activities of the ADAM (a disintegrin and metalloproteinase) and the MMP family of proteases create soluble forms of NKG2D ligands that can impair host immunity[36]. NKG2D is as a major component of NK cell activation and since NK cells can efficiently kill autologous cells provided that the target cell is specifically recognized, NKG2D has been implicated in immunosurveillance. The exploitation of the NKG2D/NKG2D ligands pathway by targeting the immune suppressive effect of soluble NKG2D ligands using neutralizing antibody could be a promising strategy for anti-tumor immune therapy.[37] NKG2D antibodies for a wide range of applications including flow cytometry, immunofluorescence, immunohistochemistry, and western blotting are supported by Thermo Fisher Scientific (Figures 13 and 14).
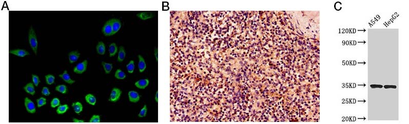
Figure 14. NKG2D detection using Cat. No. PA5-97904. (A) Immunofluorescence (IF) analysis of NKG2D in A549 cells at a dilution of 1:100. Alexa Fluor 488-congugated Goat Anti-Rabbit IgG(H+L) secondary antibody was used. (B) Immunohistochemical analysis of NKG2D in paraffin-embedded human spleen tissue at a dilution of 1:100. (C) Western blot analysis of NKG2D at a concentration of 3.7 µg/mL; NKG2D detected in A549 whole cell lysate and HepG2 whole cell lysate. A secondary goat polyclonal antibody to rabbit IgG was applied at a 1:50,000 dilution. Observed band size: 34 kDa.
Data provided from BenchSci.
| Description | Application tested or published; target | Cat. No. |
|---|---|---|
| CD314 (NKG2D) Monoclonal Antibody (CX5), Functional Grade, eBioscience™ | Flow, FN, Neu; Mouse | 16-5882-82 |
| NKG2D Polyclonal Antibody | ELISA, ICC, IF, IHC (P), WB; Human | PA5-97904 |
Abbreviations: Flow: flow cytometry; FN: functional assay; Neu: neutralization; ELISA: enzyme linked immunosorbent assay; ICC: immunocytochemistry; IF: immunofluorescence; IHC(P): immunohistochemistry (paraffin); WB: western blot.
Access Thermo Fisher Immune Checkpoint Antibodies webpage and select your immune checkpoint target of interest to view our current offering of antibodies.
The need for assays that can identify and phenotype patient immune cells for the quantification of biomarkers produced during an immune response is a growing need among researchers and clinicians alike. With Thermo Fisher Scientific’s extensive catalog of antibodies and fluorophore conjugations, researchers can easily build a full panel and confidently investigate immune cell–checkpoints with flow cytometry.
This application note highlights the simultaneous detection of multiple biomarkers from biofluid samples (plasma or serum), which allows correlation of their levels with progression of disease in longitudinal studies, and begins to associate biomarker levels with checkpoint blockade therapy response.
The Invitrogen ProcartaPlex Immuno-Oncology Checkpoint Panels target a set of selected molecules, including stimulatory factors that promote immunity and inhibitory factors to reduce immune activity and prevent autoimmunity. These panels allow the simultaneous detection of multiple soluble immune checkpoint proteins and help give a comprehensive picture of cancer immunity in a blood sample.
Use small amount of plasma or serum
Capture and detect proteins using ProcartaPlex panels
Analyze results on the Luminex instrument; choose from FlexMap-3D (not an image of the FlexMap-3D), MAGPIX, or the Luminex 200 system
| Description | Application tested or published; target | Cat. No. |
|---|---|---|
| Immuno-Oncology Checkpoint 14-Plex Human ProcartaPlex Panel 1 | LX; Human | EPX14A-15803-901 |
| Immuno-Oncology Checkpoint 14-Plex Human ProcartaPlex Panel 2 | LX; Human | EPX140-15815-901 |
| Immuno-Oncology Checkpoint 4-Plex Mouse ProcartaPlex Panel 1 | LX; Mouse | EPX040-20830-901 |
| Immuno-Oncology Checkpoint 7-Plex Mouse ProcartaPlex Panel 2 | LX; Mouse | EPX070-20835-901 |
Abbreviations: LX: Luminex multiplex immunoassay.
See more human and mouse ProcartaPlex panels and Simplex products
For Research Use Only. Not for use in diagnostic procedures.
















