Search
Search

TALEN and CRISPR Validation Tools |
The promise of powerful gene editing systems to create specific genetic mutations within cells, tissues or in vivo for therapeutic applications remains a driving force for the industry of gene editing research.
Whether performing TALEN or CRISPR experiments, all genome editing strategies require a validation plan to assess the accuracy and reliability of expected gene editing results and reduce the risk of non-specific DNA editing. TALEN and CRISPR validation should be performed at various steps of the gene editing workflow from assessing cellular health to targeted expression.
Select the stage of your workflow to see recommended validation techniques.
Cell culture studies with antibiotic resistance and validation control using fluorophore expression offer simple ways to verify that CRISPR reagents have been delivered via transfection.
Cleavage detection, sequencing, western blotting, and PCR are effective techniques to confirm a CRISPR edit.
High-content screening and cell culture studies can be used to validate phenotypes. TEG-seq is an in-cellular method developed to measure off-target cleavage events that may have been generated after gene editing.
Cell culture studies with antibiotic resistance and validation control using fluorophore expression offer simple ways to verify that CRISPR reagents have been delivered via transfection.
Cleavage detection, sequencing, western blotting, and PCR are effective techniques to confirm a CRISPR edit.
High-content screening and cell culture studies can be used to validate phenotypes. TEG-seq is an in-cellular method developed to measure off-target cleavage events that may have been generated after gene editing.
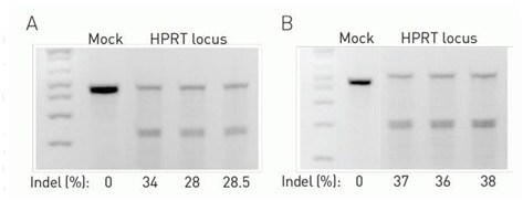
The Invitrogen GeneArt Genomic Cleavage Detection (GCD) Kit is a T7 endonuclease assay designed to quickly and confidently confirm CRISPR or TALEN insertions, deletions, or gene modulations. With minimal hands-on time, from cell harvest to quantified results, the analysis of your genome editing events can be achieved in just four hours.
Figure 1. CRISPR-Cas9–mediated cleavage efficiency. Gel image of a cleavage assay using the Invitrogen GeneArt Genomic Cleavage Detection Kit for the HPRT locus. (A) Results using the GeneArt CRISPR Nuclease OFP Vector expressing HPRT-specific CRISPR RNA. (B) Results obtained using the GeneArt CRISPR Nuclease CD4 Vector expressing HPRT-specific CRISPR RNA. Following transfection into HeLa cells, triplicate cleavage assays were performed, and the percentage of indels was calculated.
Having the proper positive, negative, and delivery controls is pertinent to the success of any gene editing validation strategy. Please refer to the complete line of CRISPR controls offered by Thermo Fisher Scientific when designing gene editing experiments from the initial design to the validation of all gene editing work.
Although GeneArt Genomic Cleavage Detection (GCD) assays are quick and inexpensive, results must be further analyzed to ensure that only the desired mutation was introduced. This can be done with DNA sequencing.
Sanger sequencing is a critical validation tool for TALEN and CRISPR experiments due to its lower cost for targeted sequencing, simple workflow, and uncomplicated data analysis.
Sanger sequencing can be used to determine the efficiency of nuclease cleavage. In the following experiment, lysate from treated cells was sequenced using SeqScanner 2 software. The results showed a mixed sequence where the edit occurred (Figure 2A). The results were then analyzed using the Tracking of Indels by Decomposition (TIDE, Brinkman, EK et al. (2014)) software. The SeqScreener Gene Edit Confirmation App on Thermo Fisher Connect can be used to determine the spectrum and frequency of targeted mutations.
Figure 2. Use of Sanger sequencing for determining editing efficiency. (A) A mixed population of HEK293 cells with a genome edit event at the human HPRT locus was analyzed using SeqScanner 2 software. Note the position of the edit, indicated with the red arrow. (B) Analysis of the sequence trace using TIDE software. The fraction of cell predicted to have -1, -2, -3 etc deletions, as well as the overall predicted editing efficiency, is shown.
TIP: Another method to determine nuclease cleavage efficiency is to subclone the amplicon from treated cells into plasmids, and Sanger sequence the insert in individual bacterial subclones. Counting the number of subclones with a successful edit gives a measure of the efficiency of the editing reaction, as well as visualizing the type of sequences that resulted from the edit.
Download application note: Using Sanger sequencing to facilitate CRISPR- and TALEN-mediated genome editing workflowsNGS offers a powerful tool, with high-throughput capabilities, for TALEN and CRISPR analysis. This method offers both qualitative and quantitative screening of all TALEN and CRISPR targeted mutations. NGS can analyze many samples at once to accurately determine which cells have the desired TALEN or CRISPR targeted mutation. Also, off-target effects can be assessed with TALEN and CRISPR NGS analysis for multiple samples.
Learn more about NGS for TALEN and CRISPR validation
View video to determine which sequencing method is best for your CRISPR experiments
Every step of the gene editing workflow must maintain viable and healthy cells. Testing for viability, apoptosis, or stress responses should be a routine process and is a pertinent step in not only validating effective gene modification but also in determining optimal experimental conditions.
Fluorophore expression and antibiotic resistance are two widely used techniques to measure transfection efficiency as well as targeted expression.
Immunocytochemistry is a standard technique for identifying specific proteins within the cell. Using an anti-Cas9 primary antibody and a labeled secondary antibody, Cas9 expression can be detected on a cell-by-cell basis with fluorescence imaging.
Antibiotic selection, gene expression, and immunocytochemistry assays are frequently used to monitor the assembly of CRISPR components for gene editing in the cell. Fluorescent protein expression can be measured directly, and when antibiotic selection is used to identify transfected cells, viability assays can be used to monitor the selection process.
Figure 4. GFP expression measured using the Countess II FL Automated Cell Counter. U2OS cells expressing the Cas9 protein were transduced with Invitrogen LentiArray Positive Ctrl gRNA (HPRT-GFP) and Invitrogen LentiArray Negative Ctrl gRNA (Scrambled-GFP) at MOIs of 1 and 2. Two days later, cells were counted and measured for GFP on the Countess II FL Automated Cell Counter. Measurements showed the percentage of cells positive for GFP and indicated the percentage of transduced cells expressing the GFP and puromycin resistance gene (2A and 2B).
Figure 6. Measuring transfection efficiency in 293T cells using flow cytometry. The Invitrogen GeneArt CRISPR Nuclease Vector with OFP Reporter Kit uses expression of an orange fluorescent protein (OFP) to label transfected cells. Transfection efficiency was measured in 293T cells using the Attune NxT Flow Cytometer, and the data shows >90% OFP-positive cells in transfected samples.
Western blotting is a technique broadly used to detect and determine if specific proteins are present in the sample being analyzed. In CRISPR experiments, western blotting is used to determine transfection efficiency as well as measure expression.
In Figure 7, western blotting was used to compare the expression of Cas9 in cells transfected with different CRISPR formats. Phenotypic changes can also be quantified in a population of cell using western blotting, as shown in Figure 8.
Figure 7. Western blot detection of Cas9 accumulation over time in plasmid DNA, mRNA, and protein transfected cells. HEK293FT cells were transfected with Cas9 plasmid DNA, mRNA, or protein. Cells were harvested at indicated times to perform western blot analysis. Proteins in the cell lysate were separated on a NuPAGE 4–12% Bis-Tris gel, transferred to PVDF membrane using the iBlot 2 Gel Transfer Device, incubated with mouse monoclonal Cas9 antibody at 1:3,000 dilution and rabbit anti-mouse HRP conjugated secondary antibody at 1:2,000. The membrane was developed using Pierce ECL substrate. (Liang et. al., Journal of Biotechnology, 208, 44–53.)
Figure 8. CRISPR-edited Hap1 cells accumulate LC3B after chloroquine treatment. LC3B can be measured using quantitative microscopy or western blotting.
PCR amplification of target regions can be used in combination with gel electrophoresis, restriction digest, Sanger sequencing, or NGS for TALEN and CRISPR validation. In addition, real-time PCR can be employed for validating gene expression levels in cells.
High-content imaging platforms offer exceptional high content screening (HCS) with single-cell analysis capabilities and lightning-fast time-to-data. These automated microscopic fluorescence imaging and analysis platforms detect changes in protein expression, compartmentalization, and cell morphology; all with quantitative rigor. HCS provides unbiased spontaneous phenotyping with intact, fixed, or live cells in monolayers to spheroids.
Figure 9. Automatic quantitation of autophagy using HCS. A Thermo Scientific CellInsight CX7 platform was used to identify and count LC3B granules in CRISPR-edited HAP1 cells. Cells were labeled with HCS NuclearMask Blue, HCS CellMask Deep Red, and an anti-LC3B antibody followed by Alexa Fluor 647 goat anti-rabbit antibody. Automated analysis using Thermo Scientific HCS Studio 3.0 identified nuclei (blue overlay) cell perimeter (green outline) and quantified LC3B granules (red overlay in fluorescence image and in bar chart).
With modulation of any cellular signaling pathway comes the risk of proximal and distal consequences. It is important to track targeted proteins and monitor the impact on other aspects of cell health and behavior. High-content screening (HCS) is particularly suited to this type of multiparameter investigation, and Invitrogen reagents provide the breadth of tools for interrogating cell health and behavior.
Figure 10. Rapid analysis of various cell health parameters using the Thermo Scientific CellInsight CX5 platform. Wild-type and CRISPR-edited Hap-1 cells were analyzed using the CellInsight CX5 HCS Platform for (A) apoptosis using CellEvent Caspase-3/7 Green Detection Reagent, (B) oxidative stress using Invitrogen CellROX reagents, (C) protein degradation using Invitrogen LysoTracker reagents, and (D) protein synthesis using an Invitrogen Click-iT OPP assay kit.
For more information on custom TALEN design and validation, visit TALEN Design to Validation Services.
For Research Use Only. Not for use in diagnostic procedures.









